良性骨腫瘍には,良性骨巨細胞腫,軟骨芽細胞腫,軟骨粘液線維腫,内軟骨腫,非骨化性線維腫,骨芽細胞腫,骨軟骨腫,類骨骨腫などがある。
良性嚢胞には,動脈瘤様骨嚢胞(腫),孤立性骨嚢胞などがある。
線維性骨異形成では骨も侵されることがある。
(骨と関節の腫瘍の概要も参照のこと。)
動脈瘤様骨嚢胞(腫)
動脈瘤様骨嚢胞(腫)は,通常25歳より前に発生する特発性の拡張性病変である。この嚢胞性の病変は通常長管骨の骨幹端部に発生するが,ほぼあらゆる骨が侵されうる。緩徐に発育する傾向がある。骨膜の新しい骨殻が拡張性病変の周囲に形成され,元の骨よりも幅が広いことが多い。痛みおよび腫脹がよくみられる。診断されるまでに病変が数週間から1年間存在することがある。
X線像がしばしば特徴的である:透亮部は通常,境界明瞭で偏心性である;骨膜が(風船状に)膨隆し軟部組織に進展しており,骨新生によって取り囲まれていることがある。MRIでは典型的に液面形成(fluid-fluid level)を示す。画像検査で,一部の動脈瘤様骨嚢胞(腫)様の病変が骨肉腫に類似した特徴を伴ってより不穏にみえることがあり,その場合は血管拡張型骨肉腫を疑うべきである。動脈瘤様骨嚢胞(腫)のsolid variantは,X線上で骨端部の骨巨細胞腫と混同されることがある。
生検で確認された動脈瘤様骨嚢胞(腫)には,ドキシサイクリンおよびアルブミンと空気で注射可能な泡沫を形成してそれを注射することがある。1回または2回を超える注射が必要になる場合がある。その他,アルコールベースの硬化剤が使用されている。病変全体の外科的切除が最も効果的な治療法である;ときに不完全な切除の後に退縮が起こる。放射線療法後に肉腫が発生することがあるため,可能であれば放射線は避けるべきである。しかし,脊髄を圧迫している外科的には完全に到達不可能な脊椎骨病変においては,放射線が第1選択の治療法である場合がある。
この手関節X線写真には,拡張性の病変の周囲に風船上の骨膜性骨新生(矢印)がみられるが,これは動脈瘤様骨嚢胞(腫)に特徴的な所見である。
良性骨巨細胞腫
良性骨巨細胞腫は20歳代および30歳代で最も多く発生し,骨端および遠位骨幹端-骨端部に生じる。この腫瘍は局所浸潤性であると考えられている。拡大を続け骨を破壊し,最終的には残った骨を浸食し軟部組織に進展することがある。痛みを引き起こすことがある。この腫瘍はその再発の傾向でよく知られている。骨巨細胞腫はまれに,たとえ組織学的に良性のままであっても,肺に転移することがある。
良性骨巨細胞腫は,画像検査上で拡張性の融解性病変として現れる。画像検査では,腫瘍と正常な骨梁骨の間に硬化性の骨境界がなく,腫瘍から正常骨稜に移るところがある。生検が必要である。骨巨細胞腫は肺に転移することがあるため,最初の病期診断の一環として胸部CTを行う。
大半の良性骨巨細胞腫は,徹底的な掻爬,アジュバント療法,およびメチルメタクリレートの充填により,または骨移植により治療する。再発率を減らすため,外科医は温熱(ポリメチルメタクリレートの硬化により供給される)やアルゴンビームなどによるアジュバント療法,腫瘍をフェノールで化学的に処理する治療,または液体窒素で凍結する治療(凍結療法)を好むことが多い。腫瘍が非常に大きく,関節を破壊する場合は,関節再建を伴う完全切除が必要になることがある。RANKL(receptor activator of nuclear factor κB ligand)を阻害するモノクローナル抗体であるデノスマブは,良性骨巨細胞腫のうち,手術不能の可能性がある大きな腫瘍の治療に使用されることがある(巨細胞腫の画像[CT]を参照)。デノスマブはしばしば術前に使用され,巨細胞腫を取り巻く外殻を成熟させ,病変内の局所療法としてより積極的な掻爬を可能にする。
この膝関節X線写真には,膝関節の上の大腿骨に透明の空洞(矢印)がみられ,これは巨細胞腫の所見に一致する。
このCT水平断像(左)では,前方に軟部組織の腫瘤(白矢印)を伴う仙骨の溶骨性病変(赤矢印)がみられる。生検を行ったところ骨巨細胞腫と判明した。デノスマブによる4年間の治療後に撮影されたフォローアップのCT像(右)では,腫瘍の進行性の骨化(緑矢印)が認められ,腫瘍の増大はみられない。
軟骨芽細胞腫
軟骨芽細胞腫はまれであり,10~20歳で最も多く発生する。この腫瘍は骨端に発生し,増殖を続けて骨および関節を破壊することがある。
画像検査では,点状の石灰化を含む硬化性の境界がある嚢胞として現れる。MRIで認められる病変周囲の有意な浮腫が診断に役立つことがある。
腫瘍は掻爬により外科的に除去する必要があり,掻爬後の空洞には骨移植の必要がある。局所再発率は約10~20%であり,再発病変は再度の骨掻爬および骨移植で消失することが多い。
この肩関節X線写真には,上腕骨の端に軟骨芽細胞腫(矢印)がみられる。
軟骨粘液線維腫
軟骨粘液線維腫は非常にまれであり,通常は30歳より前に発生する。
画像検査上の所見(通常は偏心性の境界明瞭な融解像を示し,長管骨の骨端付近に位置する)により軟骨粘液線維腫の診断が示唆される。脛骨近位部および腸骨翼が典型的な発生部位である。
軟骨粘液線維腫の生検後の治療は,しばしばアジュバント療法(例,フェノール,液体窒素,アルゴンビームの使用)を併用する外科的切除または掻爬と骨移植である。
この膝関節X線写真には,膝関節の下の脛骨で骨の前部を拡張している軟骨粘液線維腫(矢印)がみられる。
内軟骨腫
内軟骨腫は年齢を問わず起こる可能性があるが,10歳から40歳の間に発症する傾向がある。通常は骨幹端-骨幹部分の骨髄腔に位置する。この腫瘍は通常無症状であるが,大きくなり痛みを生じることもある。別の理由でX線撮影が行われた際に偶然見つかることが多い。骨膜性軟骨腫は,骨の表面に生じる類似の軟骨病変である。
X線上では,腫瘍が骨内の分葉状の石灰化領域として現れる;一部の病変では石灰化が少なく,単純X線写真またはCT上のいずれかで点状の石灰化領域を伴う。骨皮質に隣接する場合,内軟骨腫は小さなendosteal scallopingを呈する。内軟骨腫はほぼ全てが骨シンチグラフィーで集積亢進を示すため,誤ったがんの懸念を生じさせる。X線所見が(MRIおよびCTを含めて)診断につながることがあるが,そうでない場合,特に腫瘍(関連する関節ではなく)が痛みを伴っている場合は,直視下生検によって内軟骨腫の診断を確定すべきである。骨痛を関節痛と区別するのを助けるため,関節に注射することがある(通常は長時間作用型の麻酔薬[例,ブピバカイン]による);痛みが持続すれば,痛みは骨病変に起因する可能性がある。
無症状の内軟骨腫は生検も切除も,またはその他の治療(通常は掻爬)も必要としないが,軟骨肉腫へのまれな進行を除外するために画像検査によるフォローアップが適応となる。そのような検査を,6カ月後および1年後にもう1回,または症状が生じればいつでも行う。
多発性内軟骨腫(Ollier病)の患者および特に軟部組織の血管腫を伴う多発性内軟骨腫症(Maffucci症候群)の患者は,はるかに高い軟骨肉腫のリスクを有する。
この大腿骨のX線写真では,大腿骨の内部に分葉状のカルシウム沈着(矢印)がみられるが,これは内軟骨腫の典型的所見である。
線維性骨異形成
線維性骨異形成では小児期に異常な骨形成がみられる。本症は骨を脆弱化させる。線維性骨異形成は,単一の骨に生じる場合もあればいくつかの骨に生じる場合もある。多数の線維性骨異形成,皮膚色素沈着,および内分泌異常がみられることがある(オルブライト症候群またはマッキューン-オルブライト症候群)。線維性骨異形成の異常な骨病変は,一般に思春期に発生しなくなる。線維性骨異形成はまれに悪性化する。
X線上では病変が嚢胞性にみえることがあり,拡張性で変形を生じることがある。画像検査では病変は典型的なすりガラス陰影を示す。大腿骨近位部の病変は,骨が脆弱化しているために塑性変形が生じ,その結果,X線上で羊飼いの杖変形(shepherd's crook deformity)を呈する。
ビスホスホネートまたはRANKL阻害薬(例,デノスマブ)が疼痛の緩和に役立つことがある。進行性の変形,固定で治癒しない骨折,または難治性の痛みは,外科的に効果的に治療しうる。
この股関節のX線像では,線維性骨異形成(矢印)がみられ,骨皮質の拡大およびすりガラス状の基質を伴い,骨破壊を認めない。
メロレオストーシス
メロレオストーシスは,皮質骨のまれな発達性疾患である。これは皮質の間葉性異形成であり,ランダムなMAP2K1遺伝子変異と関連している可能性がある。この過程は小児期に始まり,骨皮質の肥厚が外側表面(骨膜)および内側表面(骨内膜)の両方に生じる。この過程は皮質内で非常に緩徐に進行する。メロレオストーシスは通常,単一の骨のみを侵す(単骨性)が,同じ肢の他の骨を侵す(多骨性)こともある(体細胞性の分布)。脛骨および大腿骨が好発部位である。
患者はしばしば不快感で受診し,X線で罹患骨の皮質の肥厚が認められる。X線上の外観からは,外傷性の骨新生,疲労骨折,または骨肉腫さえも示唆される可能性がある。しかしながら,緻密な皮質肥厚は特徴的な「dripping candle wax」像(不整な皮質骨増殖)を示し,繰り返しのX線検査での画像の安定性から生検なしで十分に本症の診断を下せる。
不快感は鎮痛薬または抗炎症薬で治療し,経時的に繰り返しX線検査を行う。重度の痛みを伴う病変に対する外科的切除または一括切除の試みは通常成功しておらず,ごくまれに切断術が必要となる。
このCT画像には,大腿骨および骨盤に生じたメロレオストーシスの密度の高い骨病変が認められる。
このCT画像には,大腿骨および骨盤に生じたメロレオストーシスの密度の高い骨病変が認められる。
Image courtesy of Michael J. Joyce, MD, and David M.Joyce, MD.
このX線写真には,42歳の患者の大腿骨近位部および骨盤に生じたメロレオストーシスが写っている。
このX線写真には,42歳の患者の大腿骨近位部および骨盤に生じたメロレオストーシスが写っている。
Image courtesy of Michael J. Joyce, MD, and David M.Joyce, MD.
このX線写真には,39歳の患者の大腿骨に生じたメロレオストーシスの「dripping candle wax」像が写っている。
このX線写真には,39歳の患者の大腿骨に生じたメロレオストーシスの「dripping candle wax」像が写っている。
Image courtesy of Michael J. Joyce, MD, and David M.Joyce, MD.
非骨化性線維腫(線維性骨皮質欠損,線維黄色腫)
非骨化性線維腫は,X線上で境界明瞭な透明の骨皮質病変として現れる骨の良性線維性病変である。非常に小さい非骨化性線維腫を線維性骨皮質欠損と呼ぶ。これらの病変は,正常なら骨化する骨の一部が代わりに線維組織で満たされる,発育上の障害である。骨幹端を侵すことが多く,最も侵されることが多い部位は,順に,大腿骨遠位部,脛骨遠位部,および脛骨近位部である。次第に大きくなり多房化する。非骨化性線維腫は小児でよくみられる。大半の病変は最終的に骨化しリモデリングされ,しばしば高密度で硬化性の領域となる。しかし,一部の病変は拡大する。
小さい非骨化性線維腫は無症状である。しかし,骨の直径の50%近くを侵している病変は痛みを引き起こす傾向があり,病的骨折のリスクが増す。
非骨化性線維腫は概して,画像検査で初めて偶然発見される(例,外傷後)。典型的にはX線透過性,単独,直径2cm未満であり,骨皮質に境界明瞭な硬化性の境界を伴う細長い透亮像が認められる。非骨化性線維腫はまた多房性のこともある。
小さい非骨化性線維腫は治療を必要とせず,フォローアップの必要性も限られている。痛みを引き起こすまたは骨の直径の50%に近い病変は,病変を介する病的骨折のリスクを減らすために,掻爬および骨移植を必要とすることがある。
このX線写真には,膝関節上方の大腿骨の中に,非骨化性線維腫の特徴である軽度の拡張を伴う骨病変(矢印)が認められる。
類骨骨腫
類骨骨腫は若年者(一般的に10~35歳)に発生する傾向があり,あらゆる骨に発生しうるが,長管骨で最も多い。類骨骨腫は痛みを引き起こしうる(プロスタグランジンを介した夜間の炎症の増加を反映して,通常は夜間に増悪)。痛みは典型的に,プロスタグランジンを標的とする弱い鎮痛薬(特にアスピリンまたは他の非ステロイド系抗炎症薬[NSAID])によって緩和する。成長過程の小児では,炎症反応およびそれに伴う充血が,開いている成長板に近い場合,過成長および肢長差を引き起こすことがある。痛みにより筋肉を使わなくなるため,身体診察で局所筋肉の萎縮が明らかになることがある。
画像検査上で特徴的な所見は,より大きな硬化領域に囲まれた小さな透亮帯である。腫瘍が疑われる場合,テクネチウム99mによる全身骨シンチグラフィーを行うべきである;類骨骨腫は高集積領域として現れるが,他の多くの骨病変もそれと同様である。細かい断層シーケンスによるCT,またはMRIも行うが,これは病変の識別に最も役立つ。単純X線または薄いスライス厚のCTで,反応性骨病変に囲まれた腫瘍の真のnidusを示す古典的な標的様の(「bull's eye」)像がみられることがある。
経皮的ラジオ波焼灼術で小さな透亮帯を除去すると,大半の例で永久的な軽快が得られる。大半の類骨骨腫は,筋骨格系を専門とするIVR専門医が経皮的手技および麻酔を用いて治療する。頻度は低いが,類骨骨腫は外科的に掻爬または切除することもある。類骨骨腫が神経の近くにあるまたは皮膚に近接する場合(例,脊椎,手,足),ラジオ波焼灼術によって生じる熱が損傷を与える可能性があるため外科的切除の方が望ましいことがある。
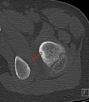
左股関節痛のある6歳の小児における大腿骨近位部(隣接する骨は骨盤枝)のCT水平断像で,中心石灰化を伴う典型的な透明のnidus(矢印)が認められる。このCT画像では古典的な標的様病変が認められる。
左股関節痛のある6歳の小児における大腿骨近位部(隣接する骨は骨盤枝)のCT水平断像で,中心石灰化を伴う典型的な透明のnidus(矢印)が認められる。このCT画像では古典的な標的様病変が認められる。
Image courtesy of Michael J. Joyce, MD, and Hakan Ilaslan, MD.
この左脛骨のX線側面像では,後方部に類骨骨腫による透亮像(赤矢印)が認められる。腫瘍周囲にあって慢性化したように見える平滑な骨膜肥厚(青矢印)に注目すること。
この左脛骨のX線側面像では,後方部に類骨骨腫による透亮像(赤矢印)が認められる。腫瘍周囲にあって慢性化したように見える平滑な骨膜肥厚(青矢印)に注目すること。
Image courtesy of Michael J. Joyce, MD, and Hakan Ilaslan, MD.
この脂肪抑制T2強調MRIの水平断像には,骨皮質内の類骨骨腫(矢印)と,それに隣接する微妙な骨髄浮腫が認められる。
この脂肪抑制T2強調MRIの水平断像には,骨皮質内の類骨骨腫(矢印)と,それに隣接する微妙な骨髄浮腫が認められる。
Image courtesy of Michael J. Joyce, MD, and Hakan Ilaslan, MD.
骨芽細胞腫
骨芽細胞腫はまれな良性腫瘍であり,組織学的に類骨骨腫のものと類似した組織から成る。一部の専門医は,単純に大きな類骨骨腫(2cm超)とみなしている。骨芽細胞腫は男性ではるかに多くみられ,典型的には10~35歳で発生する。脊椎,下肢,手,および足の骨に生じる。緩徐に増殖する腫瘍であり,正常な骨を破壊する。この腫瘍は痛みを伴う。
画像検査は単純X線,CT,およびMRIによる。骨芽細胞腫の正確な診断を下すには,通常,直視下生検が必要である。
骨芽細胞腫の治療には手術のほか,しばしば掻爬および骨移植が必要である。病変内の掻爬によって治療された病変における局所再発率は,10~20%にも上る可能性がある。より侵襲性が高そうな病変は,外科的な一括切除および骨再建術により治療する。Aggressive osteoblastomaと呼ばれる変種は,X線上においても組織学的にも骨肉腫に類似している。
骨軟骨腫
骨軟骨腫(骨軟骨性外骨腫)は最も一般的な良性骨腫瘍であり,あらゆる骨から発生する可能性があるが,長管骨の骨端付近に生じる傾向がある。ほとんどの場合10~20歳で発症し,単発性または多発性の場合がある。多発性骨軟骨腫は家族性の傾向がある。二次性で悪性の軟骨肉腫が単発性骨軟骨腫の患者で発生する率は1%をはるかに下回るが,多発性骨軟骨腫の患者では約10%で発生する。遺伝性の多発性骨軟骨腫(以前は遺伝性多発性外骨腫1型および2型と呼ばれた)の患者は,単発性骨軟骨腫の患者に比べ腫瘍が多く,軟骨肉腫を発症する可能性が高い。骨軟骨腫はまれに罹患骨の骨折を引き起こす。
画像検査では,病変は軟骨帽(通常2cm未満)を伴う骨表面からの骨の突出として認められ,突出部の下には基礎をなす骨皮質がみられない。MRIは,厚い軟骨帽,滑液包,または周囲の軟部組織の腫瘤を鑑別するために役立つことがある。髄腔は骨軟骨腫の発生部に連続している。ときに,痛みを伴う滑液包が軟骨帽上に生じる。
腫瘍が太い神経または血管を圧迫している場合,痛みを引き起こす場合(特に筋肉に影響し炎症性の滑液包を形成する場合),成長を阻害する場合,または画像検査で悪性の軟骨肉腫への変化を示唆する破壊像,軟部組織の腫瘤,もしくは肥厚した軟骨帽(2cm超)を認める場合は,切除が必要である。拡大しつつある腫瘍が成人にある場合は軟骨肉腫および考えられる切除または生検の必要性を考慮すべきである。
この膝関節X線写真には,膝関節上方の大腿骨から生じる骨の増殖(矢印)がみられ,これは骨軟骨腫の所見に一致する。
骨腫
骨腫は均一に密度の高い骨の領域であり,良性であると考えられる。頭蓋骨および鼻傍の骨の周りの領域に最もよくみられ,まれに体幹骨または骨盤に生じる。小さな骨腫は骨島と呼ばれる。これらは痛みを伴わず,多くの場合,X線で辺縁の平滑な高密度の骨として偶然発見される。診断はX線所見に基づく。骨シンチグラフィーでは,X線上で高密度の領域が,集積亢進をほとんどまたは全く示さないことがある。診断が不確かな場合は,MRIが役立つことがある。骨腫には生検は不要であり,単純X線で定期的にフォローアップできる。
骨斑紋症
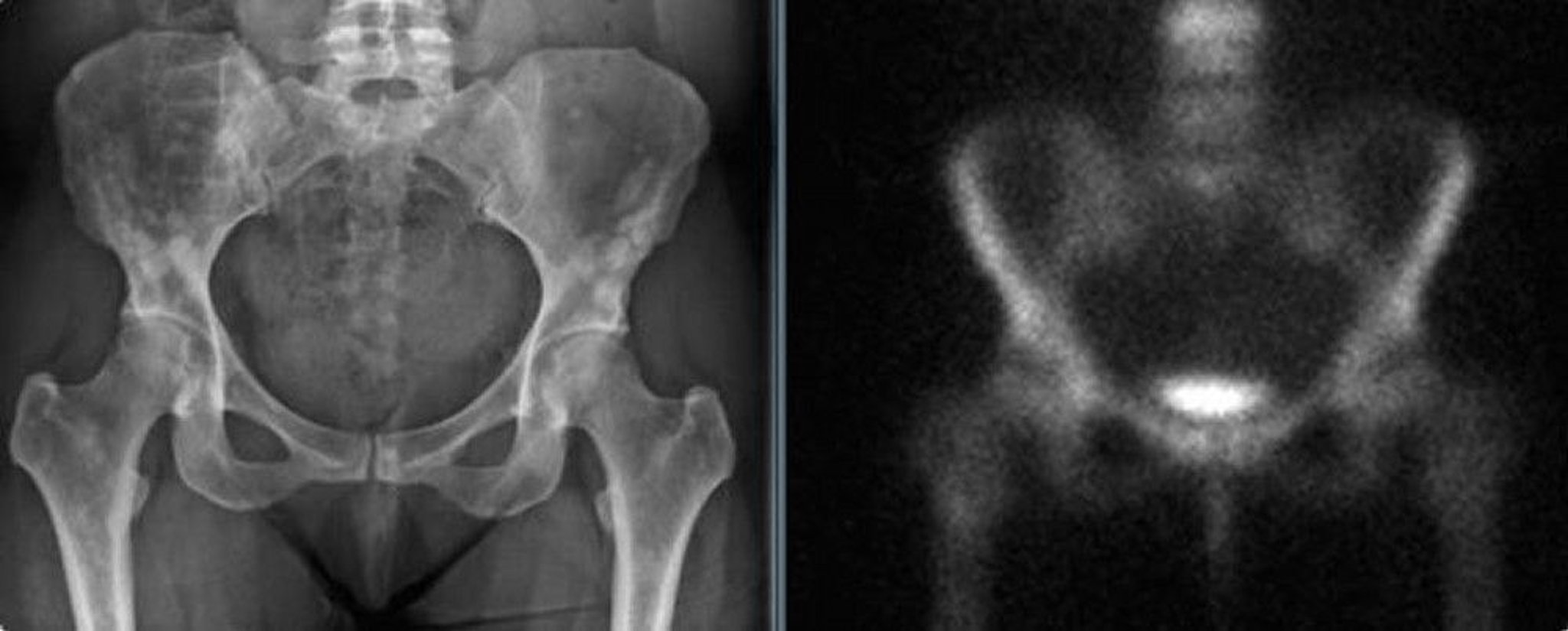
骨斑紋症は,常染色体顕性遺伝(優性遺伝)をとる良性の硬化性異形成性の骨疾患であり,症状を伴わない高密度の骨島が骨格全体に多数みられることを特徴とする。通常は体幹骨(頭蓋骨,脊椎,骨盤)および肋骨に生じるが,ときに四肢(特に大腿骨近位部)に生じることもある。骨斑紋症は症状を引き起こさない。
骨斑紋症は通常,X線で偶発所見として発見される。骨斑紋症の診断はX線所見に基づき,患者の過去のX線で,これらの高密度かつ多数の骨島が,時間が経過しても同じ典型的な所見を維持していたことが確認されることが多い。この骨島は,骨シンチグラフィーではほとんどまたは全く活性を示さない。経時的な変化がないことを確認するために,継続的な撮影を行うことがある。まれに骨斑紋症の患者にメロレオストーシスがみられる。中年期以降の成人では,鑑別診断に癌腫(乳癌,前立腺癌,肺癌)からの転移巣である小さな造骨性病変を考慮する必要があるが,通常,転移病変はより大きくかつ辺縁がより不規則であるのに対し,骨斑紋症の病変は関節周囲部骨により多数みられる。
55歳女性の骨盤に生じた骨斑紋症のX線写真(転倒の可能性があった後に撮影)であり,陰影が乳房の造骨性転移と間違えられる可能性がある(左)。骨シンチグラフィーでは有意な集積亢進を認めない(右)。
Images courtesy of Michael J.Joyce, MD, and David M.Joyce, MD.
孤立性骨嚢胞
孤立性の単純性骨嚢胞は長管骨に発生し,小児において骨端の成長板の遠位部から始まる。この嚢胞は液体で満たされている。骨皮質が菲薄化してその部位に膨隆骨折様(buckle-like)の病的骨折が起こりやすくなり,通常はそれにより本症が認識される。
通常は単純X線で診断につながる。孤立性の単純性骨嚢胞は,典型的には反応性の硬化も拡張性の骨皮質も伴わない境界明瞭な病変として現れる。嚢胞に軽微な骨折がある場合は,薄い殻からの骨片が,液体で満たされた嚢胞の底に落ちることがある。その結果,X線上の古典的な「fallen leaf appearance」が生じる。
小さい嚢胞はときに無治療でも治癒する。小さな嚢胞を通る転位のない骨折は,治癒を刺激する可能性がある。しかしながら,嚢胞が骨の直径の85%を超える場合,または骨殻が0.5mm未満の場合は,病的骨折のリスクがより高い。大きな嚢胞には(特に小児で)掻爬および骨移植が必要になることがあるが,多くはコルチコステロイド,脱灰骨基質,または人工の骨代替材料の注射に反応する。反応は多様である可能性があり,複数回の注射が必要になることがある。治療を行っても,嚢胞は約10~15%の患者で残存する。
この写真には,6歳児の上腕骨に生じた嚢胞性の泡状の病変(矢印)が写っており,単純性の孤立性骨嚢胞の所見に一致する。



