強直性脊椎炎は,代表的な脊椎関節症であり,体幹骨,末梢の大関節,および指の炎症,夜間の背部痛,朝の背部のこわばり,脊柱後弯症の増強,全身症状,大動脈炎,心伝導異常,ならびに前部ぶどう膜炎を特徴とする全身性疾患である。診断には,画像検査で仙腸関節炎を認めるか,MRIで脊椎の炎症を認める必要がある。治療は,非ステロイド系抗炎症薬(NSAID)および/または腫瘍壊死因子もしくはインターロイキン17(IL-17)阻害薬と関節の柔軟性を維持する理学療法による。
強直性脊椎炎は女性に比べて男性で3倍頻度が高く,20~40歳で始まることが最も多い。強直性脊椎炎患者の第1度近親者では,一般集団より10~20倍頻度が高い。白人の強直性脊椎炎患者ではヒト白血球抗原B27(HLA-B27)アレルが90%でみられるが(1),一般集団においても民族に応じて最大10%でみられる。HLA-B27アレルを有する第1度近親者における強直性脊椎炎のリスクは約20%である。白人におけるHLA-B27保有率の高さまたは黒人におけるHLA-B7保有率の高さにより,遺伝的素因があることが裏付けられる。しかし,一卵性双生児における一致率はわずか約50%であり,環境因子が寄与することが示唆される。
参考文献
1.Khan MA, Braun WE, Kushner I, et al: HLA B27 in Ankylosing Spondylitis: Differences in Frequency and Relative Risk in American Blacks and Caucasians. J Rheumatol.2023;50(1):39-43.
強直性脊椎炎の分類
大半の患者では体軸関節の病変が優勢となる(体軸性強直性脊椎炎[axial ankylosing spondylitis]と呼ばれる)。末梢病変が優勢となる患者もいる。体軸関節に病変がある患者でも,X線上で仙腸関節炎の所見を認めない場合がある。そのため,一部の専門医は強直性脊椎炎を以下のように分類している:
体軸性強直性脊椎炎(axial ankylosing spondylitis):体軸関節の病変が優勢で,両側性の仙腸関節炎の典型的な画像所見を認めるもの
X線基準を満たさない強直性脊椎炎(nonradiographic ankylosing spondylitis):臨床的には体軸性強直性脊椎炎と同様であるが,仙腸関節炎の典型的な画像所見を認めないもの
末梢性強直性脊椎炎(peripheral ankylosing spondylitis):末梢関節病変が優勢な強直性脊椎炎
強直性脊椎炎の症状と徴候
強直性脊椎炎の最も一般的な症状は炎症性背部痛であるが,末梢関節障害から始まることがあり(特に小児および女性の場合),まれに急性の虹彩毛様体炎(虹彩炎,前部ぶどう膜炎)を伴う。その他の初期の症状および徴候は,びまん性の肋椎関節病変による胸郭拡張の減弱のほか,ときに微熱,疲労感,食欲不振,体重減少,および貧血である。
この写真には,強直性脊椎炎患者に生じた脊椎の癒合による重度の脊柱後弯症(外方への弯曲)が写っている。
ST. BARTHOLOMEW'S HOSPITAL, LONDON/SCIENCE PHOTO LIBRARY
背部痛(しばしば夜間に起こり,強度は様々)が最終的には反復性となる。朝のこわばり(典型的には活動により軽減する)および傍脊柱筋の攣縮が発生する。背中を曲げた姿勢または前かがみの姿勢によって背部痛および傍脊柱筋の攣縮が緩和されるため,未治療の患者では脊柱後弯症がよくみられる。重度の股関節炎および肩関節炎が最終的に発症することがある。後期には,未治療の患者では脊柱後弯の増強,腰椎前弯の減少,および前かがみ姿勢の固定がみられることがあり,肺機能障害を伴い,まっすぐに横たわることができない。変形することもある末梢関節の病変がみられることがあり,ときに単一の指のびまん性腫脹(指炎)を伴う。アキレス腱炎および膝蓋腱炎が起こることがある。
強直性脊椎炎の全身症状が全患者の約25%に生じる(1)。繰り返す急性の前部ぶどう膜炎がよくみられ,まれに長引いて視覚を障害するほどに重症化する。神経学的徴候が,ときに圧迫による神経根炎もしくは坐骨神経痛,脊椎骨折もしくは亜脱臼,または馬尾症候群により生じる。心血管系の臨床像としては,大動脈弁閉鎖不全症,大動脈炎,狭心症,心膜炎,心伝導異常(無症状の場合もある)などがある。呼吸困難,咳嗽,または喀血が,まれに肺上葉の非結核性の線維化または空洞形成の結果生じることがあり,空洞性病変はアスペルギルス(Aspergillus)による二次感染を起こすことがある。非特異的大腸炎が強直性脊椎炎患者の30%で認められている。関節リウマチ患者にみられるような皮下結節は,強直性脊椎炎患者では発生しない。
症状と徴候に関する参考文献
1.Stolwijk C, van Tubergen A, Castillo-Ortiz JD, Boonen A: Prevalence of extra-articular manifestations in patients with ankylosing spondylitis: a systematic review and meta-analysis. Ann Rheum Dis 74(1):65-73, 2015.doi:10.1136/annrheumdis-2013-203582
強直性脊椎炎の診断
腰仙椎および仙腸関節のX線検査
血液検査(赤血球沈降速度,C反応性タンパク[CRP],ヒト白血球抗原B27[HLA-B27],および血算)または明確な臨床基準(Assessment of SpondyloArthritis international Societyの基準)
選択された患者で骨盤/脊椎MRI
夜間の背部痛と長引く朝のこわばりおよび脊柱後弯症,胸郭拡張の減弱,アキレス腱炎もしくは膝蓋腱炎,または説明のつかない前部ぶどう膜炎がみられる患者(特に青年男子)では,強直性脊椎炎を疑うべきである。強直性脊椎炎患者の第1度近親者では疑うべきである。
この強直性脊椎炎患者の骨盤および仙骨部のX線写真には,両仙腸関節の癒合が示されている。
ST. BARTHOLOMEW'S HOSPITAL, LONDON/SCIENCE PHOTO LIBRARY
一般に,赤血球沈降速度,HLA-B27,C反応性タンパク(CRP),および血算により検査すべきである。末梢関節炎により他の診断が示唆される場合にのみ,リウマトイド因子(RF),抗環状シトルリン化ペプチド(CCP)抗体,および抗核抗体の検査が必要となる。白人の強直性脊椎炎患者ではHLA-B27アレルが90%でみられるが,一般集団においても民族に応じて最大10%でみられる(1)。診断に有用な臨床検査はないが,検査結果によって強直性脊椎炎の疑いが強まることや,強直性脊椎炎に類似しうる他の疾患が除外されることがある。これらの検査を行った後でも強直性脊椎炎が依然として疑われる場合,腰仙椎および仙腸関節のX線またはMRIを施行すべきであり,X線上で仙腸関節炎を確認できれば,本症の診断が強く裏付けられる。
一部の患者には,X線で確認できない仙腸関節炎を確認するために骨盤MRIを行う。そのような患者では,MRIで骨炎または早期のびらんが示される。
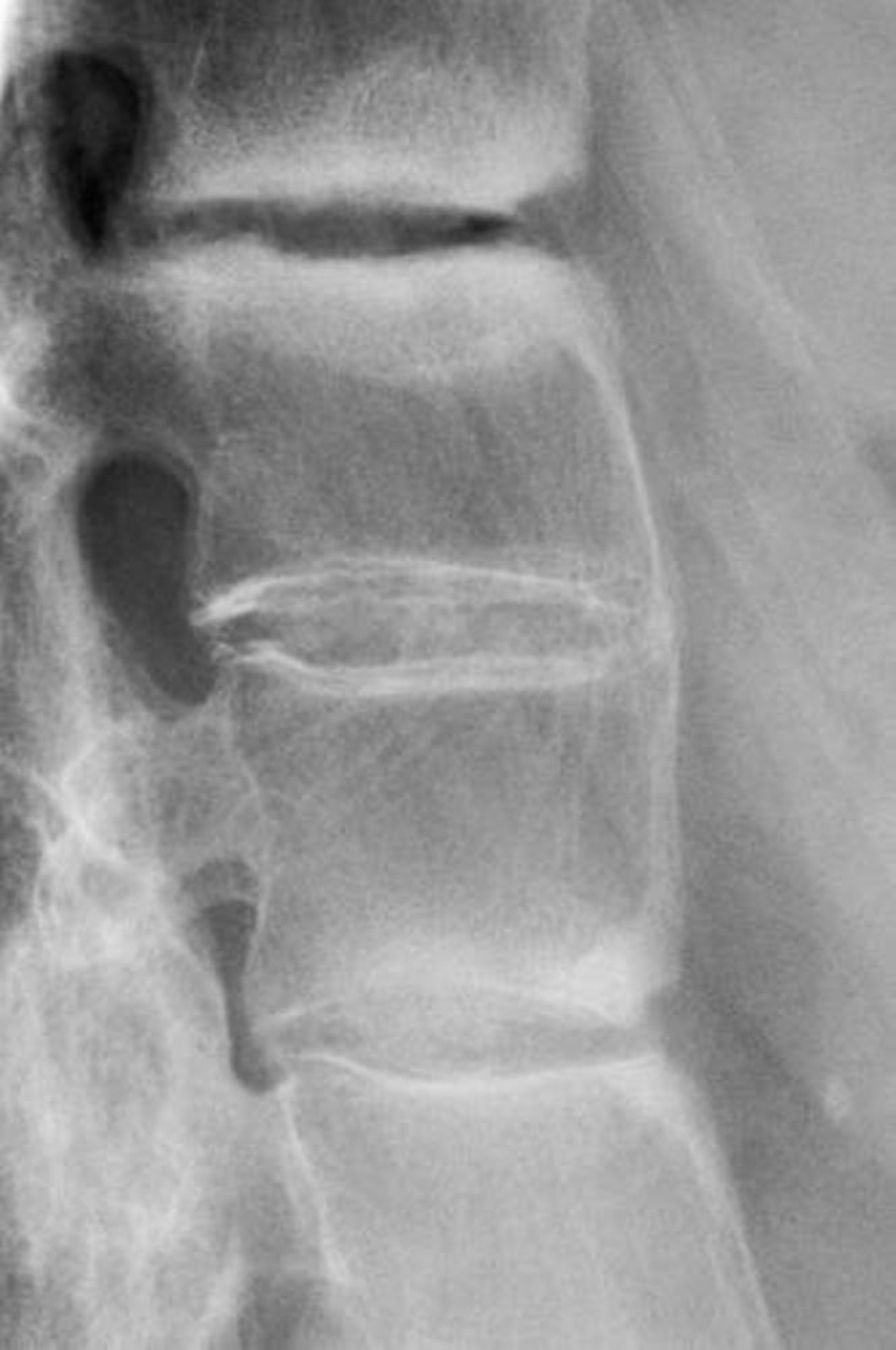
このX線写真には,腰椎間の硬化像,前弯の減弱,および腰椎の癒合という,進行した強直性脊椎炎を示唆する所見が認められる。
DR P. MARAZZI/SCIENCE PHOTO LIBRARY
強直性脊椎炎が疑われる患者を対象とする診断基準がいくつかあるが,Assessment of SpondyloArthritis international Society(ASAS)基準(2, 3, 4)が最も頻用されている。この基準は,本症を早期に,特に画像検査で脊椎関節炎が示されない患者を診断するのに有用である。体軸性脊椎関節炎のASAS基準は,背部痛が3カ月以上ある,発症年齢が45歳未満の患者に適用される。
診断は,ASASの画像検査基準または臨床基準を用いて行える。画像検査基準を満たすためには,X線またはMRIで仙腸関節炎の所見があることに加え,少なくとも脊椎関節炎の特徴を1つ有する必要がある。臨床基準を満たすためには,HLA-B27に加え,少なくとも脊椎関節炎の特徴を2つ有する必要がある。ASASの脊椎関節炎の特徴としては以下のものがある:
炎症性の背部痛を炎症性以外の背部痛から区別する病歴の特徴には,40歳以下での発症,緩やかな発症,朝のこわばり,活動による改善,受診する3カ月以上前からの症状の持続などがある。
活動性の強直性脊椎炎患者では,赤血球沈降速度およびその他の急性期反応物質(例,C反応性タンパク[CRP])が一貫性を欠いて亢進する。RFおよび抗核抗体の検査は陰性である。HLA-B27遺伝子マーカーは,陽性および陰性適中率が低いため,ほとんど役に立たない。
X線上の最初の異常は,軟骨下のびらんによって生じる仙腸関節の偽の開大であり,硬化または後の狭小化および最終的な癒合が続く。変化は対称性である。脊椎の初期変化は,上位腰椎の角部分の硬化に伴う方形化;斑状の靱帯石灰化(shiny corner sign);および1カ所または2カ所の進行性の靱帯骨棘形成である。後期の変化により「竹様脊柱(bamboo spine)」の外観が呈するが,これは顕著な靱帯骨棘形成,広範な脊椎周囲の靱帯石灰化,および骨粗鬆症に起因する;これらの変化は,一部の患者で平均で10年間かけて発生する。
この強直性脊椎炎患者の脊椎X線写真では,椎骨間に余分な骨(明るい白色)が認められる。癒合が完全な部位では「竹様脊柱(bamboo spine)」の外観を呈する。
ZEPHYR/SCIENCE PHOTO LIBRARY
この頸椎側面像は,長期にわたる重度の強直性脊椎炎患者における硬直した頸椎を示している。靱帯骨棘形成,椎間関節の癒合,および脊椎周囲の靱帯石灰化によって脊椎が完全に強直している(「竹様脊柱」)。
By permission of the publisher.From Asim Khan M: Atlas of Rheumatology.Edited by G Hunder.Philadelphia, Current Medicine, 2005.
強直性脊椎炎に典型的な変化は,X線では何年も描出されないことがある。MRIではより早期に変化が示されるが,その診断上の有用性に関して検証された前向きのデータがないため,ルーチンの診断における役割については意見の一致は得られていない。脊椎関節炎の疑いが強い場合,または患者の症状の他の原因を除外する必要がある場合は,骨盤MRIを行うべきである。MRIでは,早期の炎症性変化,脂肪変性を伴うT2強調像での骨髄浮腫,および軽微な構造的異常が示される。最後に,継続的な脊椎X線による画像的変化を追うルーチンなモニタリングは推奨されない。
強直性脊椎炎の鑑別診断
機械的な背部痛:椎間板ヘルニアにより強直性脊椎炎に類似した背部痛および神経根障害が起こることがあるが,疼痛は脊椎および神経根に限局し,通常はより突然に症状が起こり,全身症状または臨床検査値の異常は生じない。必要であれば,CTまたはMRIで椎間板ヘルニアを強直性脊椎炎と鑑別できる。単一の仙腸関節の障害は別の脊椎関節症または場合によっては感染症を示唆する。結核性脊椎炎が強直性脊椎炎に類似することがある(骨と関節の結核を参照)。
特徴的なX線上の変化には,椎体前方の広範な骨化(石灰化が,まるで誰かが脊椎の前方および側方にろうそくのろうを注いだかのように見える)があり,これは数個の椎骨を架橋する。
Image provided by Roy Altman, MD.
このびまん性特発性骨増殖症患者の腰椎CTでは,正常な椎体高とともに,前方に流れるようなびまん性の骨棘と維持された椎間板腔が認められる。
Image courtesy of Kinanah Yaseen, MD.
びまん性特発性骨増殖症(DISH):DISHは,主として50歳以上の男性に発生し,臨床およびX線所見が強直性脊椎炎と類似することがある。患者には,まれに脊椎の疼痛,こわばり,および潜行性の可動域減少がみられる。DISHのX線所見には,脊椎の靱帯前方の広範な骨化(石灰化が,まるで誰かが脊椎の前方および右側にろうそくのろうを注いだかのように見える)があるが,これは数個の椎骨(通常は椎体4個)を架橋し,通常は下位胸椎に始まり,やがて頸椎および腰椎を侵す。骨盤上口沿いおよび腱付着部(アキレス腱付着部など)に骨膜下の骨増殖がみられることが多い。しかし,脊椎前方の靱帯は正常でしばしば隆起し,仙腸関節および椎間関節にびらんはない。DISHの鑑別に有用となる付加的な特徴は,通常は朝に顕著にならないこわばり,および赤血球沈降速度正常値である。
腸骨硬化性骨炎(osteitis condensans ilii):一般に腸骨硬化性骨炎は,若年の経産婦において,仙腸関節の下3分の1,腸骨側に骨びらんを伴わない三角形の硬化として現れる。このX線所見には治療は不要である。一般に,腸骨硬化性骨炎の患者ではHLA-B27アレルはみられない。
診断に関する参考文献
1.Khan MA, Braun WE, Kushner I, et al: HLA B27 in Ankylosing Spondylitis: Differences in Frequency and Relative Risk in American Blacks and Caucasians. J Rheumatol.2023;50(1):39-43.
2.Sieper J, Rudwaleit M, Baraliakos X, et al: The Assessment of SpondyloArthritis international Society (ASAS) handbook: a guide to assess spondyloarthritis. Ann Rheum Dis 68 Suppl 2:ii1-ii44, 2009.doi:10.1136/ard.2008.104018
3.Sepriano A, Landewé R, van der Heijde D, et al: Predictive validity of the ASAS classification criteria for axial and peripheral spondyloarthritis after follow-up in the ASAS cohort: A final analysis.Ann Rheum Dis 75(6):1034–1042, 2016.doi: 10.1136/annrheumdis-2015-208730
4.Sepriano A, Rubio R, Ramiro S, et al: Performance of the ASAS classification criteria for axial and peripheral spondyloarthritis: A systematic literature review and meta-analysis.Ann Rheum Dis 76(5):886–890, 2017.doi: 10.1136/annrheumdis-2016-210747
強直性脊椎炎の治療
非ステロイド系抗炎症薬(NSAID)
腫瘍壊死因子(TNF)阻害薬,インターロイキン17(IL-17)阻害薬(例,セクキヌマブ,イキセキズマブ),またはJAK(ヤヌスキナーゼ)阻害薬
運動および支持療法
治療目標は,疼痛の緩和,関節可動域の維持,および末端臓器の損傷の予防である。本症は肺線維症を引き起こすことがあるため,喫煙を控えさせる。(ASAS-EULAR recommendations for the management of axial spondyloarthritis: 2022 updateも参照のこと。)
NSAIDは大半の患者にとって第1選択の治療法となる。疼痛を軽減し,関節の炎症および筋攣縮を抑え,それにより関節可動域を増大させ,結果として運動が容易になり,拘縮が予防される。大半のNSAIDが強直性脊椎炎に効果を示し,薬剤の選択は忍容性と毒性により規定される。NSAIDの1日量はできるだけ少なくするべきであるが,活動期には最大用量が必要になることがある。薬剤の中止は,活動期の全身および関節の徴候が数カ月間抑制されてから,必ず徐々に試みるべきである。
TNF阻害薬(例,エタネルセプト,インフリキシマブ,アダリムマブ,セルトリズマブ,ゴリムマブ)は,しばしば炎症性の背部痛に対して際立って効果的である。ぶどう膜炎が繰り返す患者における強直性脊椎炎の治療には,エタネルセプトよりもアダリムマブまたはインフリキシマブが望ましい。TNF阻害薬が無効に終わった患者では,他のTNF阻害薬への切替えよりも,IL-17阻害薬への切替えの方が望ましい。
IL-17阻害薬であるセクキヌマブは,炎症および関節症状の軽減に効果的である。有害作用としては,蕁麻疹,上気道感染症,Candida属による真菌感染症,下痢,帯状疱疹,炎症性腸疾患の症状悪化などがある。
別のIL-17阻害薬であるイキセキズマブは,活動性の強直性脊椎炎に使用することができる。単剤療法として投与することも,生物学的製剤以外の治療と併用することもできる。
JAK阻害薬(例,ウパダシチニブ,トファシチニブ)は,標的型合成疾患修飾性抗リウマチ薬(DMARD)であり,NSAIDで不十分な反応しか得られなかった患者に使用することができる。しかしながら,JAK阻害薬の有害作用に関する懸念(例,心血管事象,血栓症,および悪性腫瘍のリスク増加)から,大半の専門医はJAK阻害薬の使用対象をTNF阻害薬やIL-17阻害薬に対して十分な反応が得られなかったか,それらに耐えられない患者に限定する。
寛解を維持している患者では,治療を中止するのではなく,漸減を考慮することができる。
サラゾスルファピリジンやメトトレキサートなど,生物学的製剤以外による治療法は,より効果的な他の薬剤が利用可能であることから,使用がまれになっており,使用するとしても,末梢関節炎の患者に限定すべきである。長期にわたるコルチコステロイドの全身投与は一般に避けるべきである。
適切な姿勢および関節可動域のためには,可能性のある変形の方向に拮抗する筋肉群(すなわち,屈筋よりむしろ伸筋)を強化するために毎日の運動およびその他の支持療法(例,姿勢訓練,運動療法)が極めて重要である。腹臥位に横たわり,肘か枕で上体を支えて読書することにより背中を反らすと,背部の柔軟性の維持に役立つことがある。胸壁の動きが制限される(これにより肺機能が損なわれる)ことがあるため,喫煙(これも肺機能が損なわれる)は強く控えさせる。
コルチコステロイドのデポ剤の関節内投与が有益である場合があり,特に1つまたは2つの末梢関節が他の関節より重度の炎症を起こし,それにより運動およびリハビリテーションが妨げられる場合に有益である。画像ガイド下(例,X線透視または超音波による)のコルチコステロイドの仙腸関節内への注射がときに重度の仙腸関節炎に有用なことがある。
急性の前部ぶどう膜炎(虹彩炎)に対しては,通常は外用コルチコステロイドおよび散瞳薬で十分である。ぶどう膜炎を繰り返している患者には,TNF阻害薬(すなわちアダリムマブまたはインフリキシマブ)が望ましい。
重度の股関節炎が発生した場合は,人工股関節全置換術を施行することで,疼痛が軽減し,柔軟性が劇的に改善する可能性があるが,人工関節置換術後には,わずかではあるが異所性骨化の発生率が上昇する可能性がある。
強直性脊椎炎の予後
強直性脊椎炎は,活動性炎症の軽度または中等度の再燃が炎症のほとんどまたは全くない時期と交互に起こることを特徴とする。大半の患者では適切な治療によって障害がごく軽度となるか全く障害が残らず,背部のこわばりにもかかわらず全く不自由のない生産的な生活を送る結果となる。ときに経過は重症かつ進行性であり,その結果,日常生活に支障を来す顕著な変形が生じる。
予後不良因子には,赤血球沈降速度亢進およびC反応性タンパク(CRP)高値の持続,股関節病変,NSAIDに対する反応不良,前部ぶどう膜炎の存在,心疾患または肺疾患などがある。
要点
強直性脊椎炎は,体軸関節および末梢関節を侵し,全身症状,心症状,および前部ぶどう膜炎(虹彩炎)を起こすことがある全身性疾患である。
最初の症状は通常,炎症性背部痛および背部のこわばりであり,ときに末梢関節の症状および/または前部ぶどう膜炎を伴う。
腰仙椎の画像検査,仙腸関節の画像検査,骨盤MRI,血液検査(赤血球沈降速度,C反応性タンパク[CRP],および血算)の結果,および/または明確な臨床基準に基づき診断する。
症状の重症度を減らし機能の改善を助けるために非ステロイド系抗炎症薬を用いる。
NSAIDに対して十分な反応が得られない患者には,腫瘍壊死因子(TNF)阻害薬,インターロイキン17(IL-17)阻害薬,またはJAK(ヤヌスキナーゼ)阻害薬を使用する。
より詳細な情報
有用となりうる英語の資料を以下に示す。ただし,本マニュアルはこの資料の内容について責任を負わないことに留意されたい。



