多発性骨髄腫患者では単クローン性のIg軽鎖(ベンスジョーンズタンパク質)が過剰産生されるが,それらの軽鎖は糸球体により濾過され,腎毒性を有するため,様々な形態(遊離,尿細管円柱,アミロイド)で腎実質のほぼ全領域に損害を与える可能性がある。診断は尿検査(スルホサリチル酸検査またはタンパク質電気泳動)または腎生検による。治療は多発性骨髄腫と十分な尿量の確保に焦点を置く。骨髄腫関連腎疾患がIg重鎖により生じることはまれである。
(尿細管間質性疾患の概要も参照のこと。)
腎障害で最も頻度の高い病型は尿細管間質性疾患と糸球体損傷である。通常は糸球体損傷が主要な機序である。軽鎖がネフロンを直接的に傷害する機序は不明である。高カルシウム血症は腎血流量を低下させることで腎機能不全に寄与する。
尿細管間質性疾患
多発性骨髄腫における尿細管間質性腎疾患の種類としては以下のものがある:
軽鎖は近位尿細管の再吸収能を飽和させ,遠位ネフロンに達し,濾過されたタンパク質およびTamm-Horsfallムコタンパク質(太いヘンレ係蹄上行脚の細胞から分泌)と結合して円柱を形成し閉塞をもたらす。骨髄腫腎または骨髄腫円柱腎症(myeloma cast nephropathy)という用語は,結果として生じた尿細管間質障害に起因する腎機能不全を広く指すものである。円柱形成の素因としては以下のものがある:
尿量低値
造影剤
高尿酸血症
非ステロイド系抗炎症薬(NSAID)
管腔内塩化ナトリウム濃度の上昇(例,ループ利尿薬に起因するもの)
多発性骨髄腫の骨融解にしばしば続発する高カルシウム血症による尿細管内カルシウム濃度の上昇
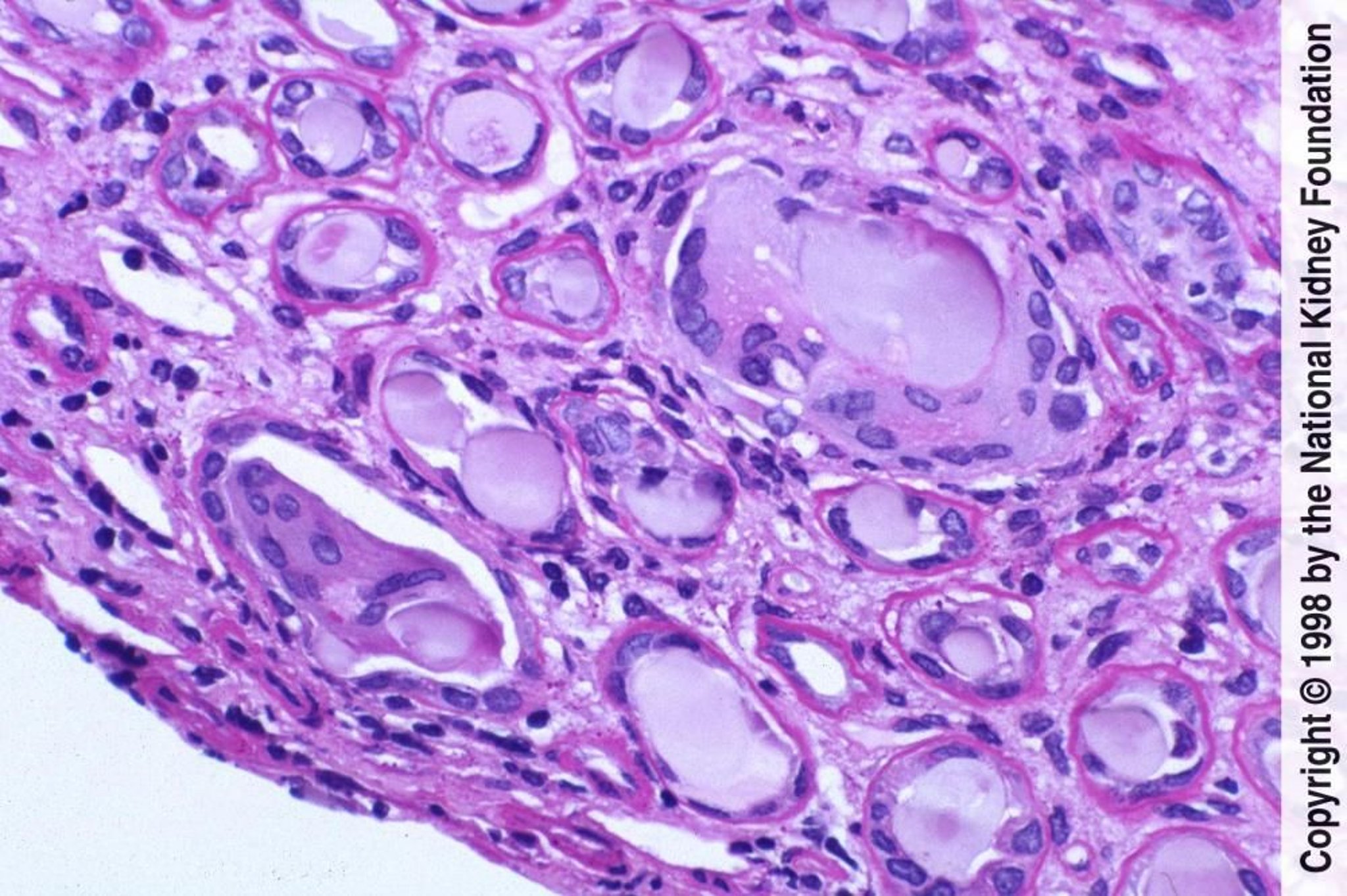
骨髄腫腎とは,尿細管内の軽鎖沈着および閉塞性の円柱形成に起因する尿細管間質性疾患を指す。生検標本では,周囲に合胞体巨細胞反応を伴う尿細管円柱,リンパ球浸潤を伴う慢性尿細管間質性腎炎,および線維化が認められる(PAS染色,400倍)。
Image provided by Agnes Fogo, MD, and the American Journal of Kidney Diseases' Atlas of Renal Pathology (see www.ajkd.org).
ベンスジョーンズタンパク尿を伴って発生する他の種類の尿細管間質性病変としては,ファンコニ症候群を引き起こす近位尿細管の輸送機能障害や,炎症性浸潤および活動性の尿細管障害(急性尿細管壊死を引き起こすことがある)を伴う間質の軽鎖沈着などがある。
糸球体症
多発性骨髄腫でみられる糸球体腎疾患の種類としては,以下のものがある:
軽鎖沈着症
重鎖沈着(まれ)
ALアミロイドーシスでは,糸球体のメサンギウム,上皮下,内皮下,またはこれら複数の領域にALアミロイドが沈着する。アミロイド沈着には,λ軽鎖の種々の領域で構成された無方向かつ非分岐性の原線維を伴う。軽鎖沈着症は,リンパ腫やマクログロブリン血症でも生じることがあり,非重合性軽鎖(すなわち,原線維を伴わない),一般にはκ鎖の定常領域が糸球体に沈着する。
まれに,進行した骨髄腫関連腎疾患において,ネフローゼレベルのタンパク尿を引き起こす非増殖性かつ非炎症性の糸球体症が生じることがある。増殖性糸球体腎炎はときに軽鎖沈着症の早期病型として発生し,糖尿病性腎症と同様に膜性増殖性糸球体腎炎および結節性糸球体症に進行し,ネフローゼレベルのタンパク尿がよくみられる。
骨髄腫関連腎疾患の症状と徴候
症状と徴候は,主に骨髄腫によるものである(例,骨痛,病的骨折,びまん性の骨粗鬆症,細菌感染症,高カルシウム血症,腎不全の程度と不釣り合いな正色素性正球性貧血)。
骨髄腫関連腎疾患の診断
尿タンパク質電気泳動(骨髄腫腎)
腎生検(糸球体症)
骨髄腫関連腎疾患の診断は,以下の所見の組合せにより示唆される:
腎機能不全
無菌の尿沈渣
尿試験紙検査でタンパク質が陰性または微陽性(ネフローゼ症候群を随伴する患者で尿中アルブミン値が上昇している場合を除く)
総尿タンパクの上昇
多発性骨髄腫の既往や多発性骨髄腫を示唆する所見がない患者でも,特に総尿タンパクが尿アルブミンと不釣り合いに上昇した場合には,本疾患を疑うべきである。総尿タンパクは24時間にわたって測定し(しばしばネフローゼ症候群を示唆するに十分なほど上昇している),尿中アルブミンは尿試験紙で測定する。
軽鎖尿細管間質性疾患(骨髄腫腎)の診断は,尿タンパク質電気泳動(UPEP)によって確定される。
糸球体症の診断は腎生検によって確定される。骨髄腫患者の30~50%では,免疫電気泳動で検出可能な血清または尿中パラプロテインを認めないにもかかわらず,腎生検で軽鎖沈着を認めることがある。
骨髄腫関連腎疾患の治療
多発性骨髄腫の管理
体液量減少の予防および尿量高値の維持
主な治療法は多発性骨髄腫の管理および体液量減少の予防(例,生理食塩水による循環血液量の増量)による尿量高値の維持である(1)。さらに,腎機能を増悪させる因子(例,高カルシウム血症,高尿酸血症,腎毒性薬剤の使用)は回避または治療すべきである。
いくつかの処置がしばしば推奨されるが,効力は証明されていない。軽鎖を除去するため血漿交換を試みることができる。軽鎖の正味電荷を変化させ,Tamm-Horsfallムコタンパク質との電荷相互作用を減少させる尿のアルカリ化は,軽鎖の可溶性を促進する可能性がある。Tamm-Horsfallムコタンパク質の管腔への分泌を減少させ,軽鎖との相互作用を低下させ,これにより毒性を軽減させる目的で,コルヒチンを投与することができる。骨髄腫関連腎疾患を増悪させる体液量減少および遠位の高度なナトリウム濃縮の発生を予防するため,ループ利尿薬は使用しない方がよいと考えられる。
治療に関する参考文献
1.Dimopoulos MA, Sonneveld P, Leung N, et al: International Myeloma Working Group Recommendations for the Diagnosis and Management of Myeloma-Related Renal Impairment.J Clin Oncol 34(13):1544-1557, 2016.doi: 10.1200/JCO.2015.65.0044
骨髄腫関連腎疾患の予後
腎疾患は多発性骨髄腫患者の全体的予後の主要予測因子である。予後は,治療を受けた尿細管間質性および糸球体軽鎖沈着症患者においては良好である。ALアミロイドーシス患者の予後は不良で,アミロイド沈着が持続し,大半の症例で腎不全に進行する。いずれの病型でも無治療では,全ての腎病変が実質的に腎不全へ進行する。
要点
多発性骨髄腫患者は,様々な機序により尿細管間質および糸球体損傷が発生する可能性がある。
原因不明の腎機能不全,無菌の尿沈渣,または非アルブミン尿タンパク値の上昇がみられる場合は,骨髄腫関連腎疾患を疑う。
骨髄腫を治療し,正常体液量を維持する。



