honeypot link
skip to main content
  • フォローしてください facebook
  • フォローしてください Youtube
MSDMsd マニュアル家庭版
病気を調べる症状から調べる救命・応急手当やさしくわかる病気事典リソースコラムMSDマニュアルについて
home病気を調べる症状から調べる
Search icon
  1. <画像
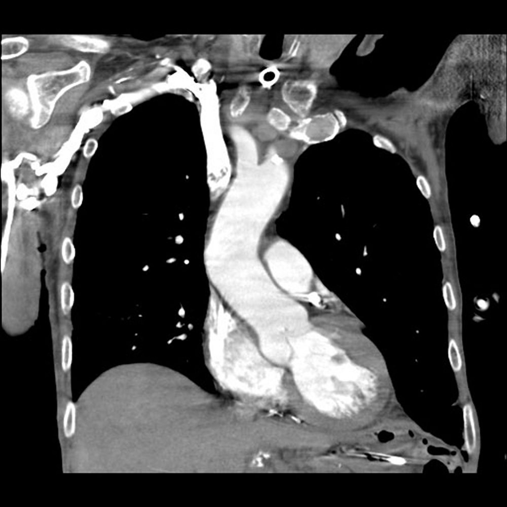
    CT肺血管造影検査

    CT肺血管造影検査

    Image provided by Mehmet Kocak, MD.

    関連するトピック
    • CT検査 >
    MSD
    MSDとMSD Manualについて
    • MSDマニュアルについて
    • 免責事項
    • 二次利用許諾
    • プライバシー
    • ご利用条件
    • ライセンス
    • 連絡先
    • モバイルアプリ
    • 獣医マニュアル(英語版)
    • フォローしてください facebook
    • フォローしてください Youtube
    • フォローしてください facebook
    • フォローしてください Youtube
    MSD

    Copyright© 2026Merck & Co., Inc., Rahway, NJ, USA and its affiliates. All rights reserved.