honeypot link
skip to main content
プロフェッショナル版
家庭版
Msd マニュアル
家庭版
病気を調べる
症状から調べる
救命・応急手当
やさしくわかる病気事典
リソース
コラム
MSDマニュアルについて
病気を調べる
症状から調べる
<
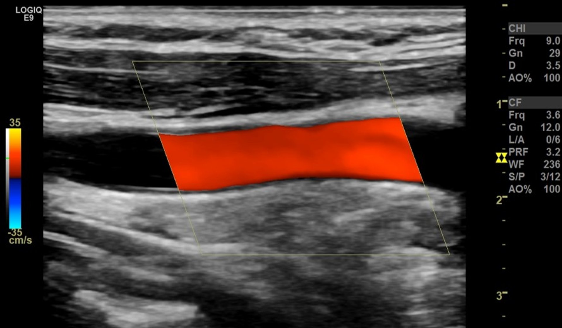
画像
頸動脈のカラードプラ超音波検査
赤色の縞は、側面から見た首の太い動脈(総頸動脈)を通る血流が正常で閉塞していない状態を示しています。
Image provided by Mustafa Mafraji MD
関連するトピック
超音波検査
>