honeypot link
skip to main content
プロフェッショナル版
家庭版
Msd マニュアル
家庭版
病気を調べる
症状から調べる
救命・応急手当
やさしくわかる病気事典
リソース
コラム
MSDマニュアルについて
病気を調べる
症状から調べる
<
画像
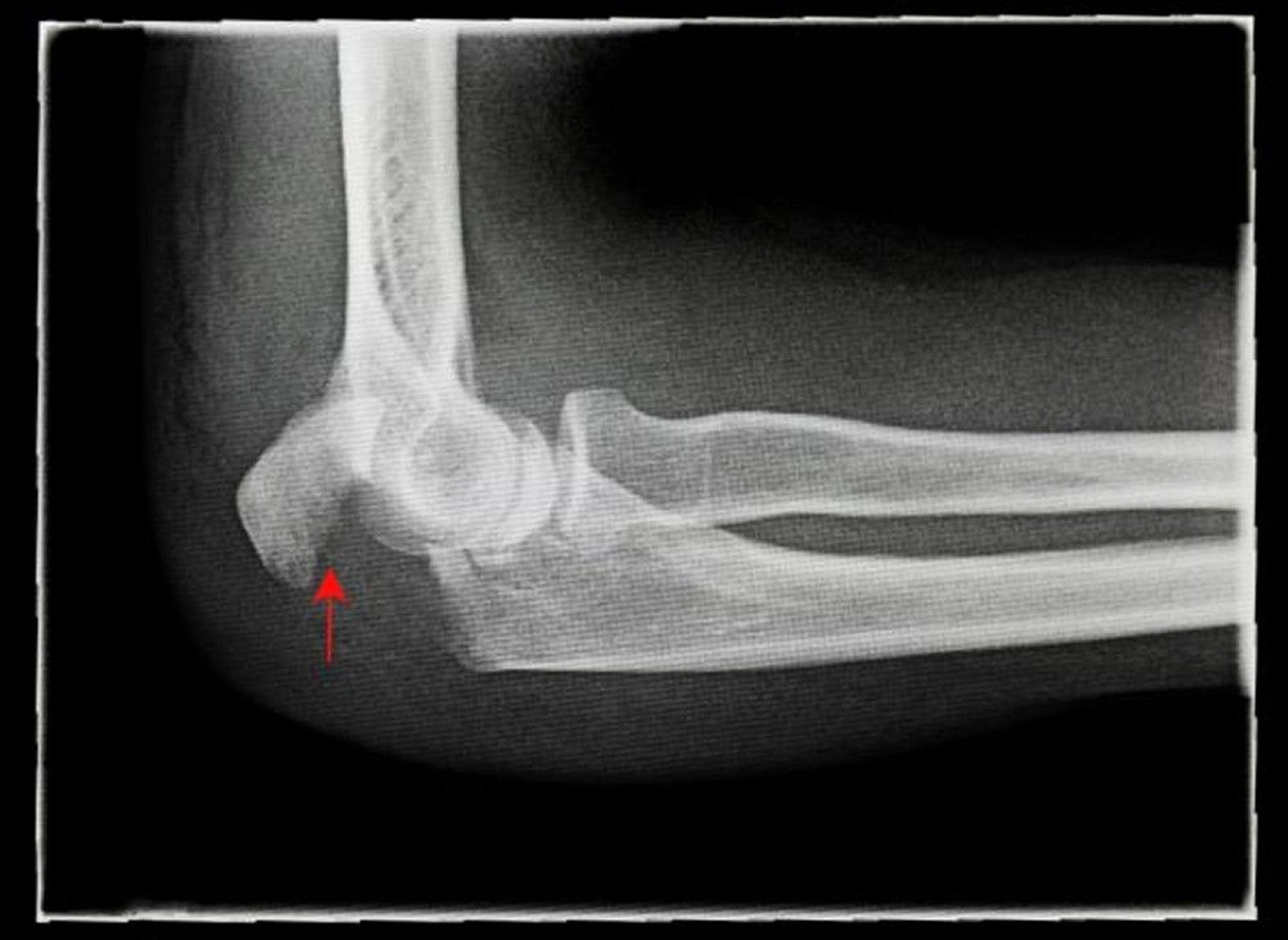
転位のある肘頭骨折
このX線写真には、転位のある肘頭骨折(矢印)の側面像が写っています。
ANTONIA REEVE/SCIENCE PHOTO LIBRARY
関連するトピック
肘の骨折
>