honeypot link
skip to main content
プロフェッショナル版
家庭版
Msd マニュアル
家庭版
病気を調べる
症状から調べる
救命・応急手当
やさしくわかる病気事典
リソース
コラム
MSDマニュアルについて
病気を調べる
症状から調べる
<
画像
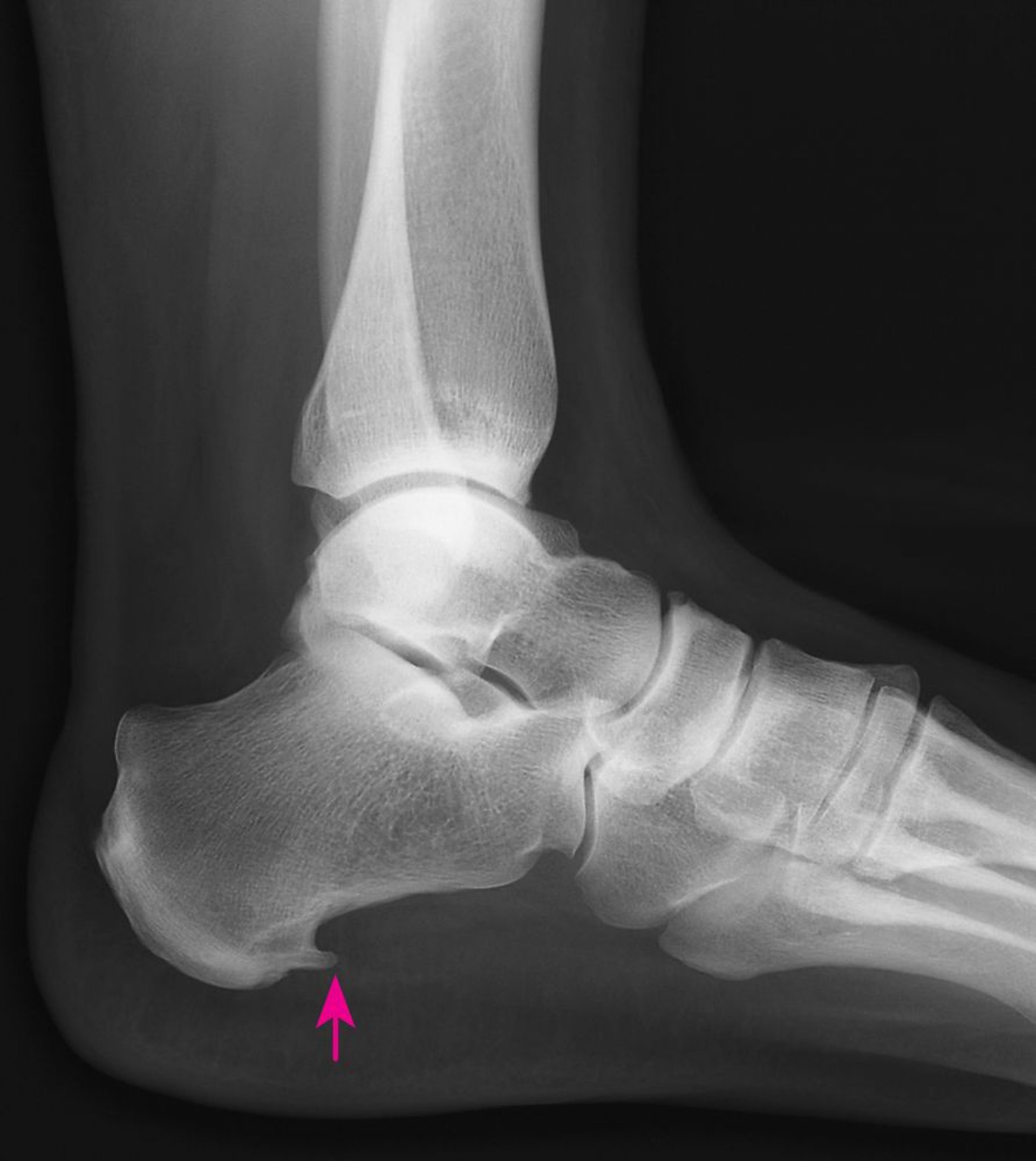
踵骨棘
このX線写真には、踵骨棘(しょうこつきょく)と呼ばれる、かかとの骨の下側に余分なとがった骨が増殖したものが写っています。
ZEPHYR/SCIENCE PHOTO LIBRARY
関連するトピック
足底腱膜炎
>