膿疱

膿疱

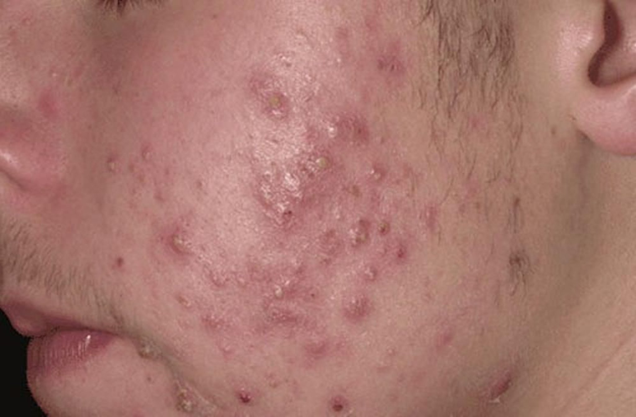
膿疱は、内部に膿を含む盛り上がった斑点で、通常は先端が黄色になっています。この写真では、にきびができた顔面に膿疱が散在しています。

Photo provided by Thomas Habif, MD.