honeypot link
skip to main content
プロフェッショナル版
家庭版
Msd マニュアル
家庭版
病気を調べる
症状から調べる
救命・応急手当
やさしくわかる病気事典
リソース
コラム
MSDマニュアルについて
病気を調べる
症状から調べる
<
画像
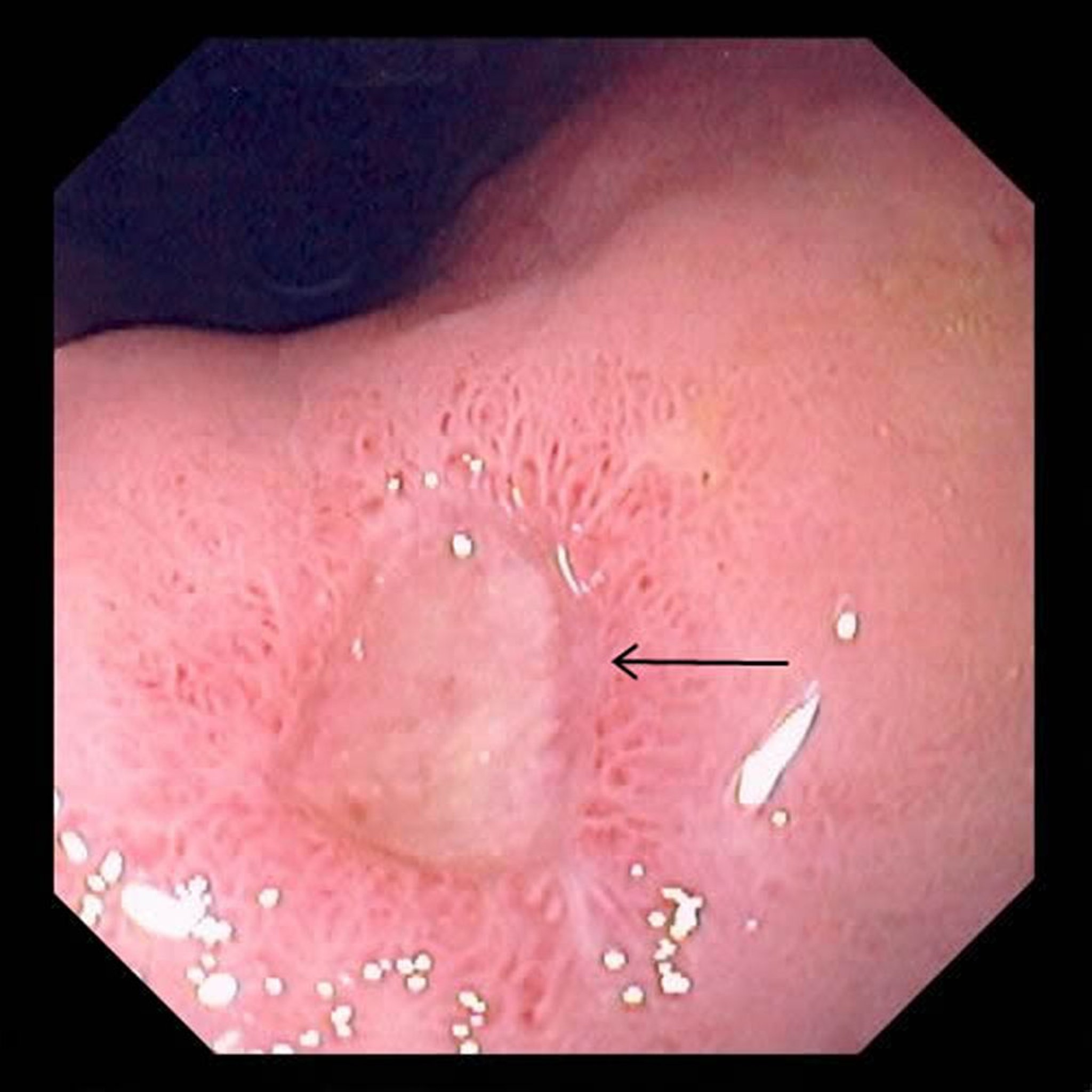
胃潰瘍
いかいよう
この
写真
しゃしん
には、
胃
い
の
大
おお
きな
潰瘍
かいよう
(
矢印
やじるし
)が
写
うつ
っています。
Photo provided by David M.Martin, MD.
関連するトピック
消化性潰瘍
>
やさしくわかる病気事典
消化性潰瘍
しょうかせいかいよう
>