honeypot link
skip to main content
プロフェッショナル版
家庭版
Msd マニュアル
家庭版
病気を調べる
症状から調べる
救命・応急手当
やさしくわかる病気事典
リソース
コラム
MSDマニュアルについて
病気を調べる
症状から調べる
<
画像
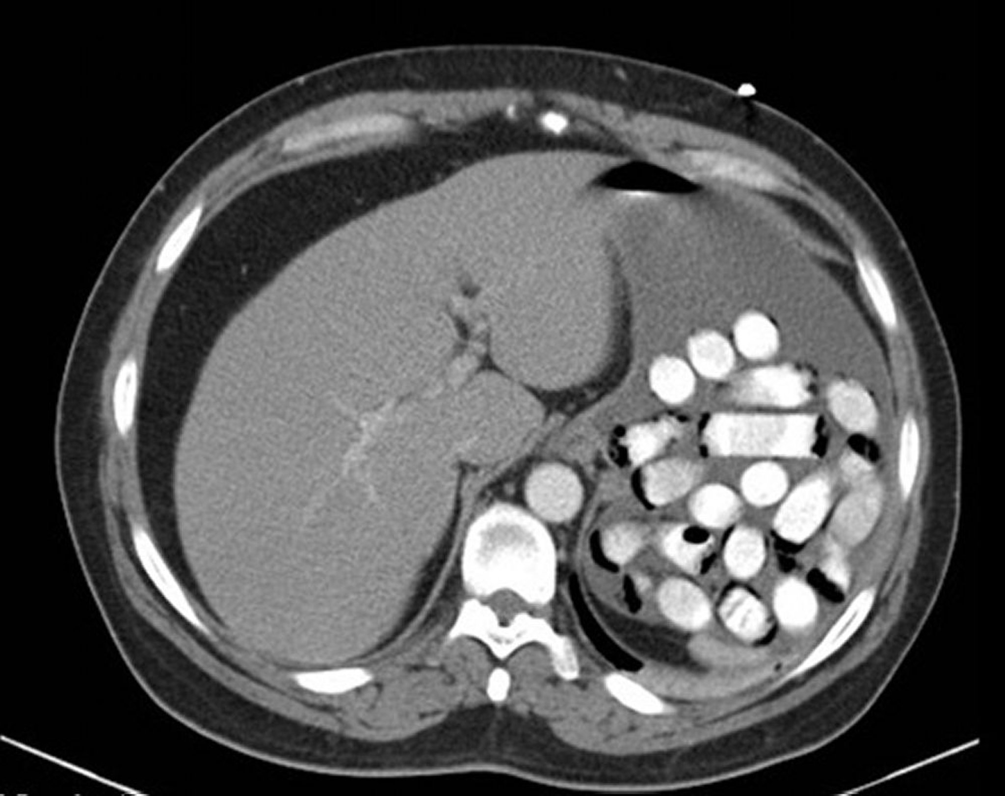
胃の中の異物(CT)
この画像には、胃の中にある薬物の包み(白い丸)が写っています。
Image provided by Alan Gingold, DO.
関連するトピック
消化管の異物
>