honeypot link
skip to main content
プロフェッショナル版
家庭版
Msd マニュアル
家庭版
病気を調べる
症状から調べる
救命・応急手当
やさしくわかる病気事典
リソース
コラム
MSDマニュアルについて
病気を調べる
症状から調べる
<
画像
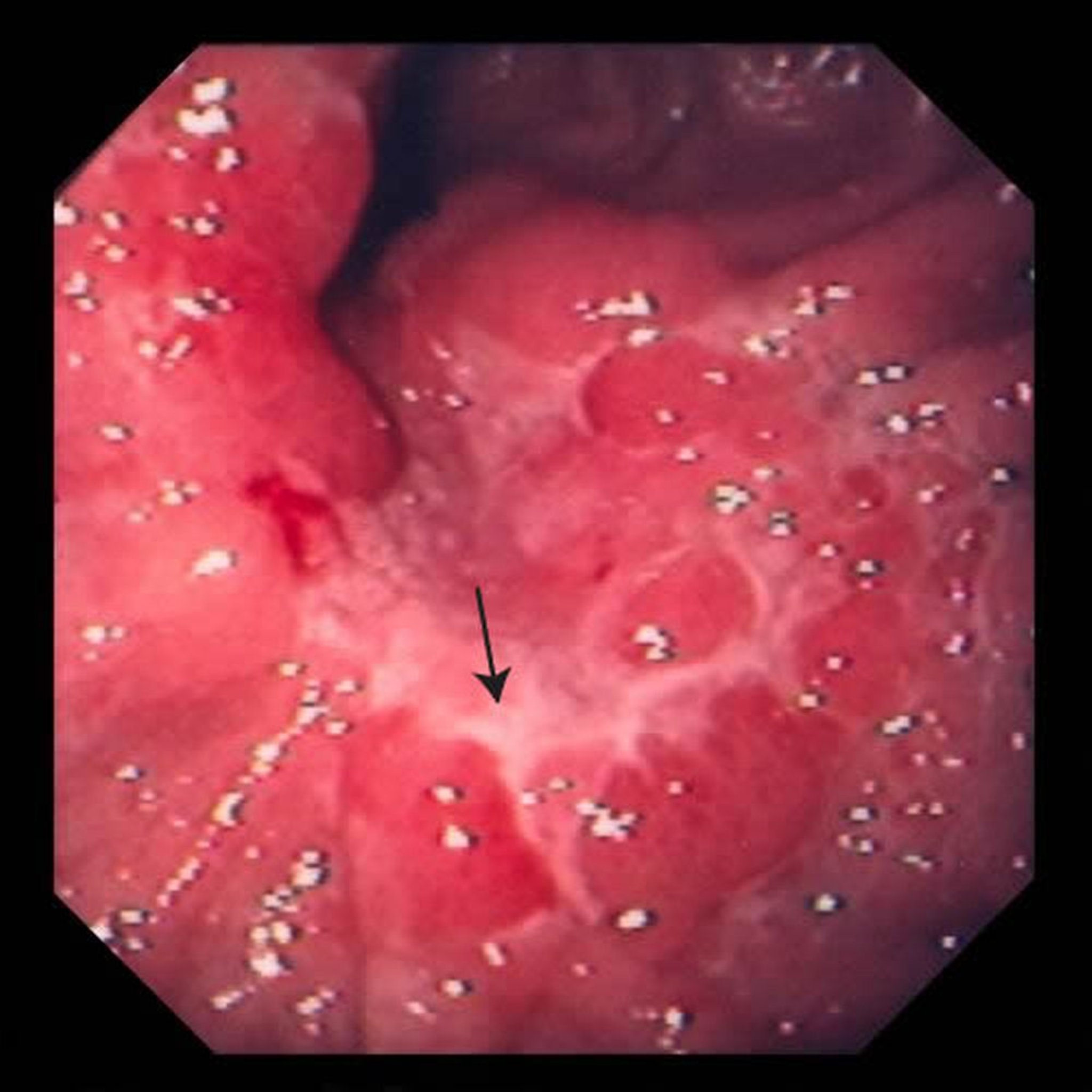
胃がん
この画像には、胃に発生した潰瘍が写っています(矢印)。生検後に、腺がんと判定されました。
Image provided by David M.Martin, MD.
関連するトピック
胃がん
>