honeypot link
skip to main content
プロフェッショナル版
家庭版
Msd マニュアル
家庭版
病気を調べる
症状から調べる
救命・応急手当
やさしくわかる病気事典
リソース
コラム
MSDマニュアルについて
病気を調べる
症状から調べる
<
画像
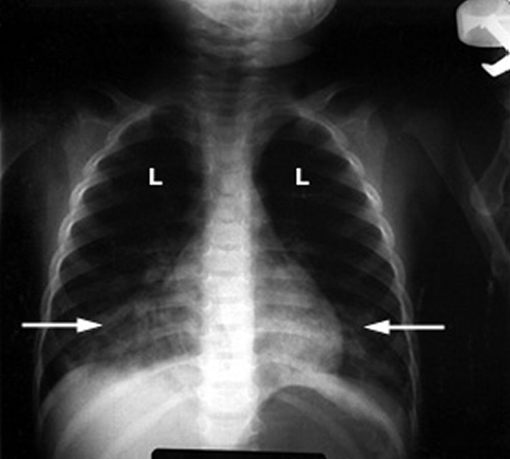
炭化水素の吸入による化学性肺炎
これは乳児の胸部X線画像で、白い綿状の浸潤影(矢印)が肺(L)に写っており、炎症が示唆されます。炭化水素中毒による肺の損傷に典型的な所見です。
Courtesy of G.Schmidt, MD.
関連するトピック
炭化水素中毒
>