滑膜軟骨腫症

滑膜軟骨腫症

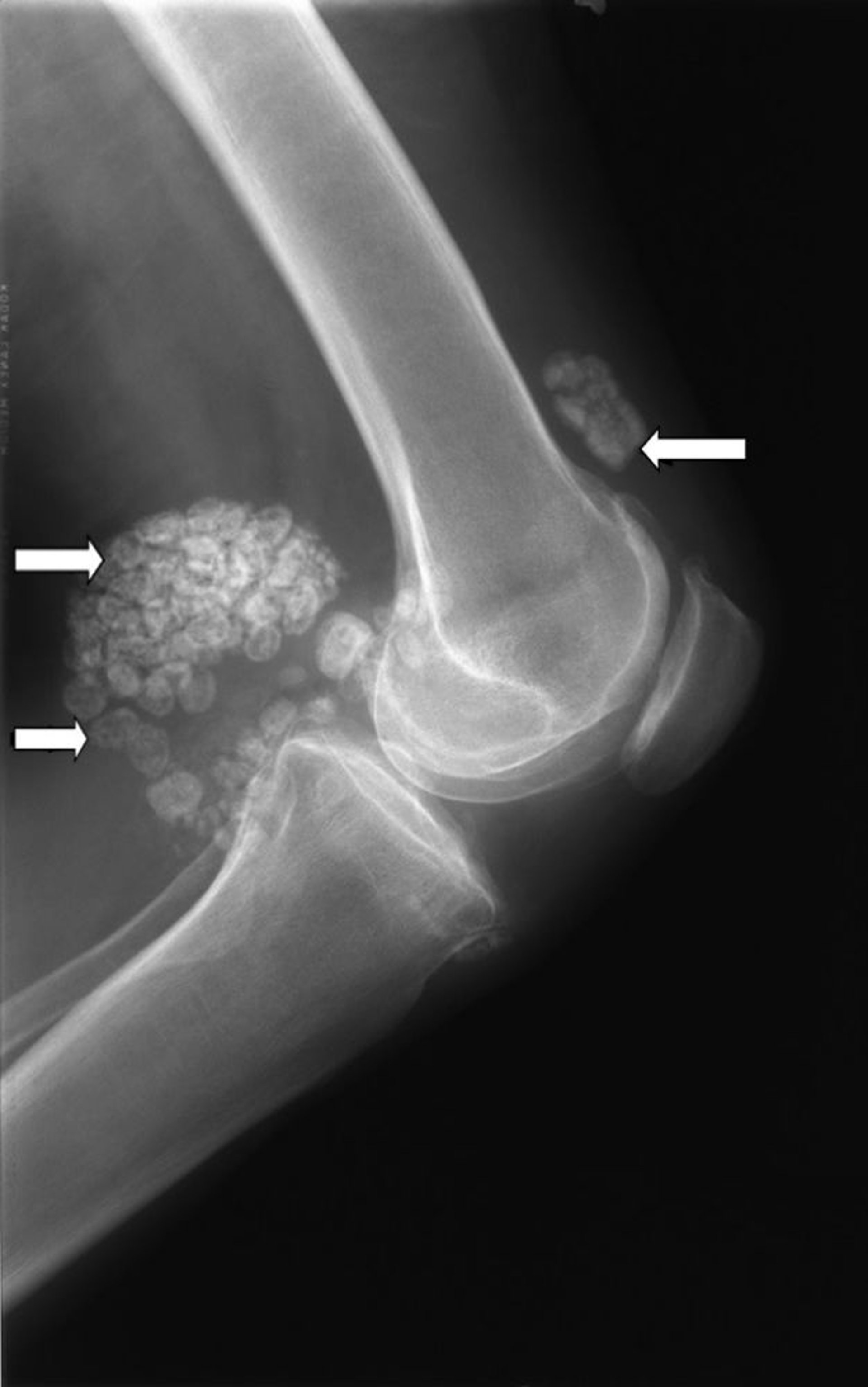
この膝のX線写真には、滑膜軟骨腫症として知られる複数の軟骨の塊が写っています(矢印)。

Image courtesy of Michael J.Joyce, MD, and Hakan Ilaslan, MD.

関連するトピック