honeypot link
skip to main content
プロフェッショナル版
家庭版
Msd マニュアル
家庭版
病気を調べる
症状から調べる
救命・応急手当
やさしくわかる病気事典
リソース
コラム
MSDマニュアルについて
病気を調べる
症状から調べる
<
画像
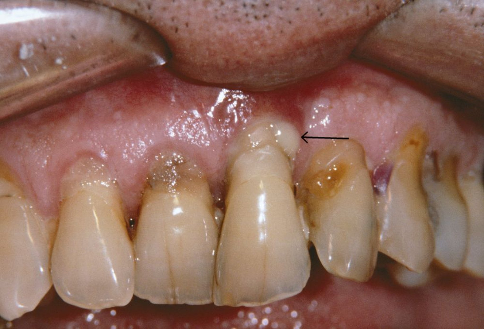
歯周炎
ししゅうえん
この
写真
しゃしん
には、
歯周炎
ししゅうえん
患者
かんじゃ
の
退縮
たいしゅく
している
歯
は
ぐきと
歯
は
周
膿瘍
のうよう
(
矢印
やじるし
)が
写
うつ
っています。
CNRI/SCIENCE PHOTO LIBRARY
関連するトピック
歯周炎
>
やさしくわかる病気事典
歯周炎
ししゅうえん
>