心拡大
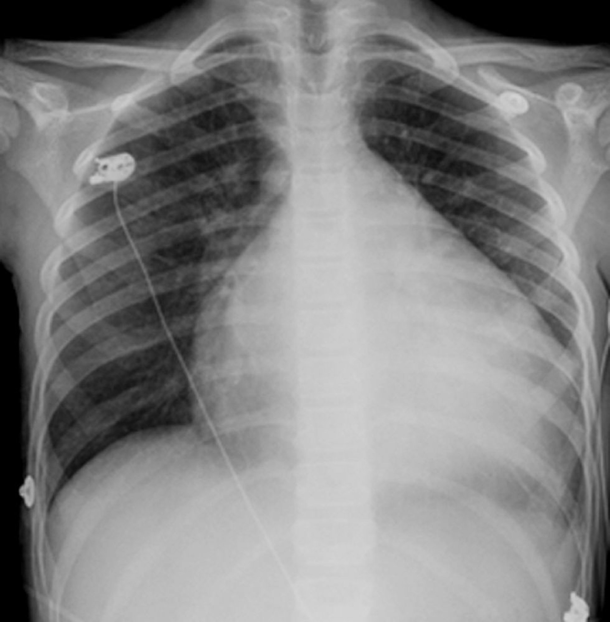
胸部の中央にみられる、球状で白い構造物が心臓です。心臓は通常、胸部の半分未満のスペースに収まっていますが、心拡大(心筋症)の場合には、胸部直径のほぼ4分の3を占めます。
© Springer Science+Business Media
関連するトピック
胸部の中央にみられる、球状で白い構造物が心臓です。心臓は通常、胸部の半分未満のスペースに収まっていますが、心拡大(心筋症)の場合には、胸部直径のほぼ4分の3を占めます。
© Springer Science+Business Media