honeypot link
skip to main content
プロフェッショナル版
家庭版
Msd マニュアル
家庭版
病気を調べる
症状から調べる
救命・応急手当
やさしくわかる病気事典
リソース
コラム
MSDマニュアルについて
病気を調べる
症状から調べる
<
画像
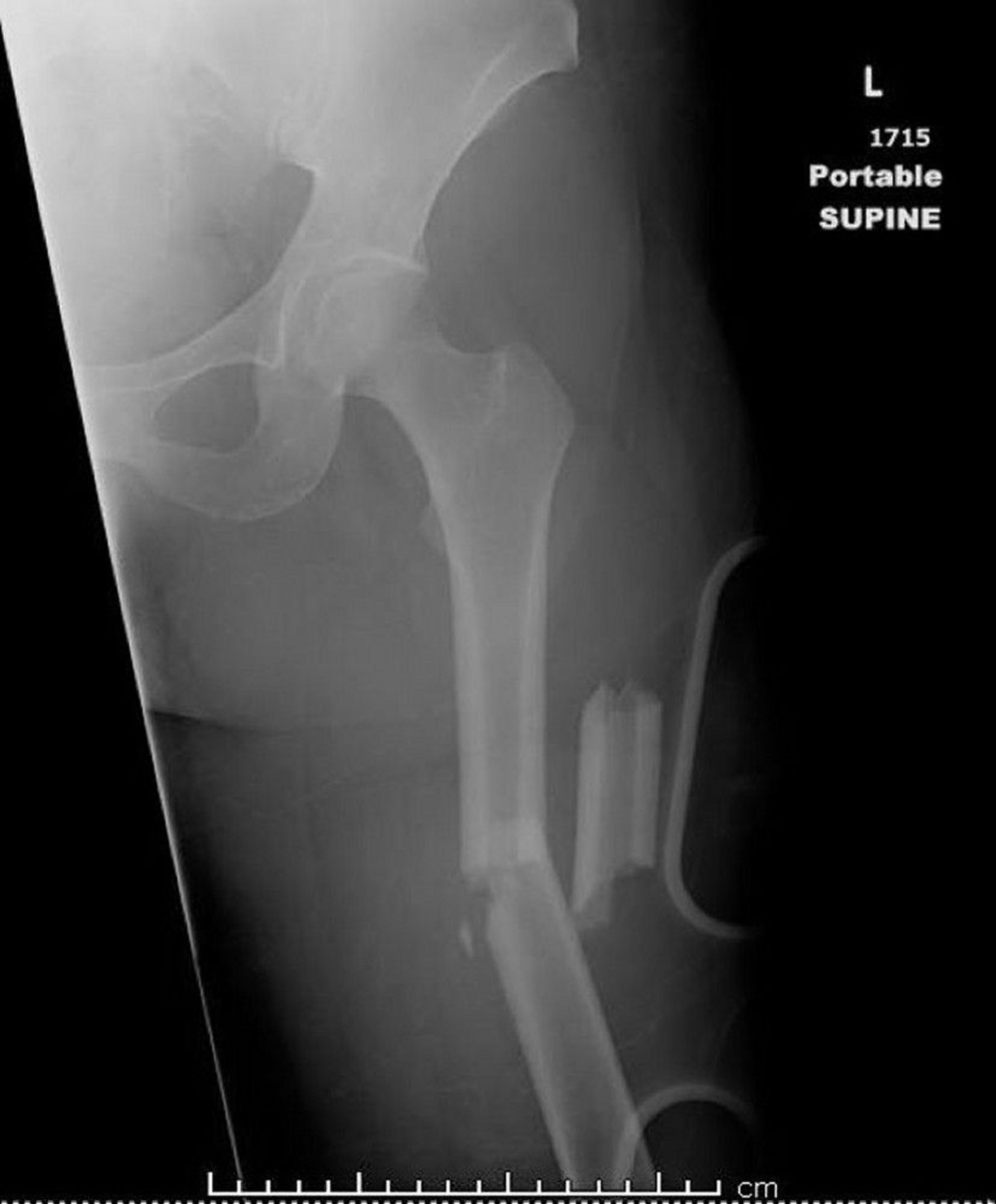
大腿骨骨幹部骨折
この画像には、3カ所以上骨折(粉砕骨折)している大腿骨が写っています。
Image courtesy of Danielle Campagne, MD.
関連するトピック
脚の骨折
>