honeypot link
skip to main content
プロフェッショナル版
家庭版
Msd マニュアル
家庭版
病気を調べる
症状から調べる
救命・応急手当
やさしくわかる病気事典
リソース
コラム
MSDマニュアルについて
病気を調べる
症状から調べる
<
画像
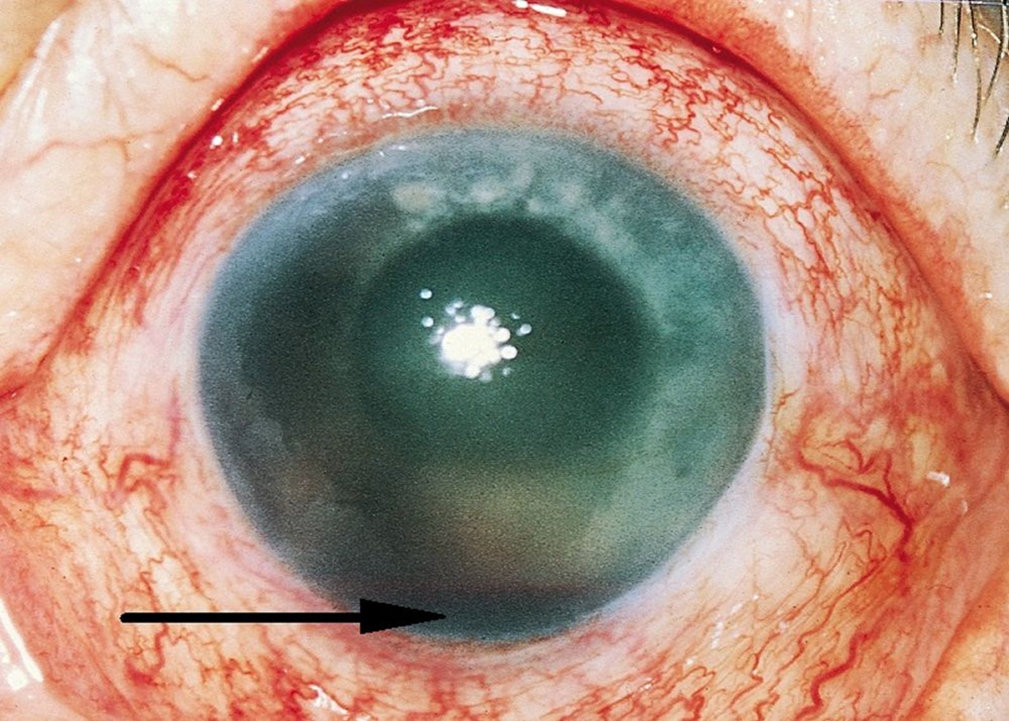
前房出血
この写真では、前房出血(矢印)と、角膜を覆う薄い粘膜(結膜)の充血がみられます。
© Springer Science+Business Media
関連するトピック
前房出血
>