不正咬合

執筆者:Bernard J. Hennessy, DDS, Texas A&M University, College of Dentistry
レビュー/改訂 修正済み 2024年 1月
v28486669_ja
プロフェッショナル版を見る

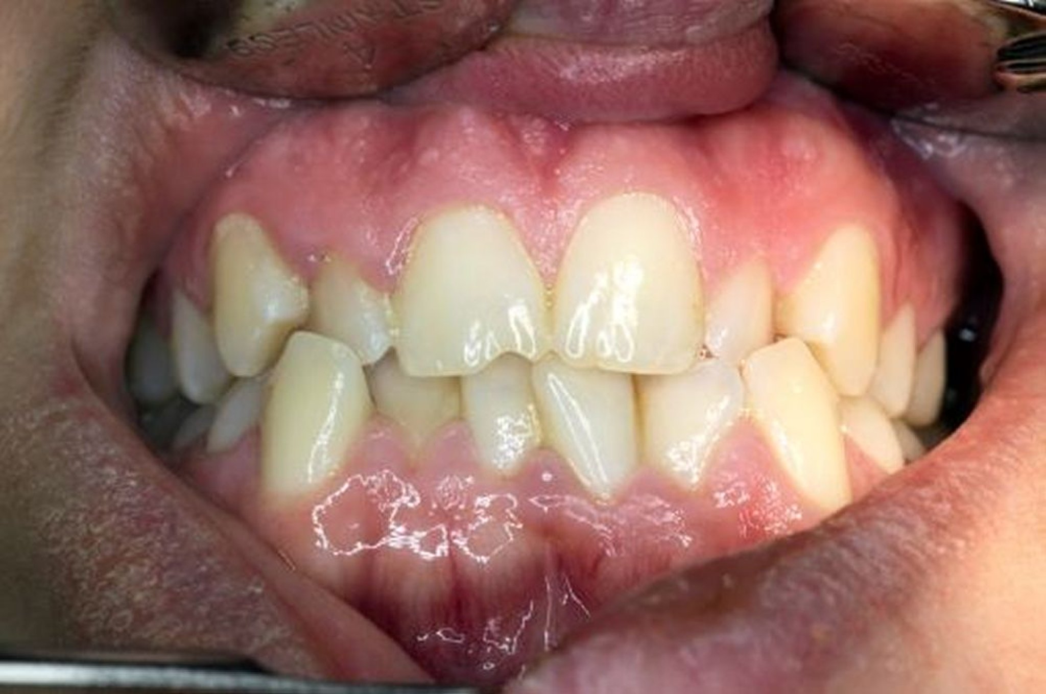
不正咬合(ふせいこうごう)とは、歯並びと上下の歯の噛み合わせが異常な状態のことです。

正常な場合は、上あごの歯が下あごの歯の外側にわずかにかぶさります。こうしてかぶさることで、それぞれの歯の突起(咬頭)が反対側の歯の対応するへこみにはまります。適切な歯並びは、最も効果的な咀嚼(そしゃく)に役立ち、さらに噛む力を均等に配分します。咀嚼では、大臼歯に約68キログラム(1000キロパスカル)の力がかかり、夜間の歯の噛みしめでは約110キログラム(1700キロパスカル)の力がかかります。不正咬合によって力が均等に配分されない場合、歯が異常にすり減ったり、歯冠の一部が破折したり、最終的には歯を喪失したりすることがあります。

歯の名称

不正咬合の原因

歯並びが悪くなる原因は、以下のようにいくつかあります。

  • あごと歯の大きさの不調和

  • 習慣的な親指しゃぶりまたは舌で歯を押したりする癖

  • 歯の喪失

  • あごの特定の先天異常

歯並びが悪くなる最も一般的な原因は、あごが歯の大きさに比べて小さすぎる状態です。大きさのわずかな不調和によって、歯が混み合いすぎるために歯並びが悪くなります。

習慣的に親指をしゃぶったり舌を前歯に押し付けたりする人では、上あごの歯が突出することがあります。

永久歯を喪失するとすき間ができ、近くの歯がそこへ移動することがあり、歯科医師によってすき間にブリッジやインプラント、または部分入れ歯を入れてもらわなければ歯並びが悪くなります。正常な場合、乳歯が喪失した場合はすぐに永久歯に置き換わります。ただし、乳歯の喪失が早すぎる場合(けがによる場合など)、同様に近くの歯が移動することがあり、歯並びが悪くなります。

あごの先天異常や骨折があると、しばしば歯並びが悪くなります。

不正咬合の処置/治療

  • ブレースやアライナー

  • ときに抜歯

  • ときに手術

ほとんどの場合、歯並びを修正する主な理由は見た目をよくするためです。しかし、重度の不正咬合に対しては、歯の損傷を予防し発話と咀嚼を改善するために処置が必要になることがあります。

歯並びの修正にはブレースや、一部の人では歯科医が処方したアライナーが必要です。

ブレースを装着するために、歯科医師はブラケットを歯に取り付けます(接着します)。ブラケットはお互いにワイヤーと伸縮性のあるバンドでつながれ、それによって徐々に適切な歯並びへと歯を引っぱる力がかかります。ゆっくりと引っぱることで、下にある歯槽骨の形が実際に変わり、その結果として永久的に歯の位置が変わります。ときに、歯並びを変えるための空間をつくるためにまず抜歯が必要になります。また、噛み合わせをよくするために、何本かの歯を少し削ったり、歯の表面を少し高くしたりするなどの処置が行われることもあります。歯並びが適切になった後は、ブレースを取り外し、歯が元の位置に戻るのを防ぐために合成樹脂とワイヤーでできた保定装置を装着します。保定装置は最初は1日24時間装着し、その後2~3年間夜間にのみ装着します。

アライナーは、クリアアライナーや透明アライナーと呼ばれることもあります。アライナーは保定装置に似た、透明なプラスチック製の一対の装置です。特定の順序で使用し、少しずつ歯を動かします(1つのアライナーで最大0.3ミリメートルまで)。各アライナーは約2週間装着し、歯並びが矯正されるまで新しいアライナーに交換します。従来のブレースと同様、歯の位置が戻らないように保定装置が用いられます。

ときに、あごの先天異常や、適切に治癒しなかったあごの骨折を手術で修正する必要があります。

さらなる情報

以下の英語の資料が役に立つかもしれません。こちらの情報源の内容について、MSDマニュアルでは責任を負いませんのでご了承ください。

  1. マウスヘルシー(MouthHealthy.org):栄養に関する情報や米国歯科医師会の認証を受けた商品の選び方など、口の健康に関する情報が提供されています。歯科医の見つけ方や受診の方法とタイミングに関するアドバイスも掲載されています。

quizzes_lightbulb_red
医学知識をチェックTake a Quiz!
ANDROID iOS
ANDROID iOS
ANDROID iOS