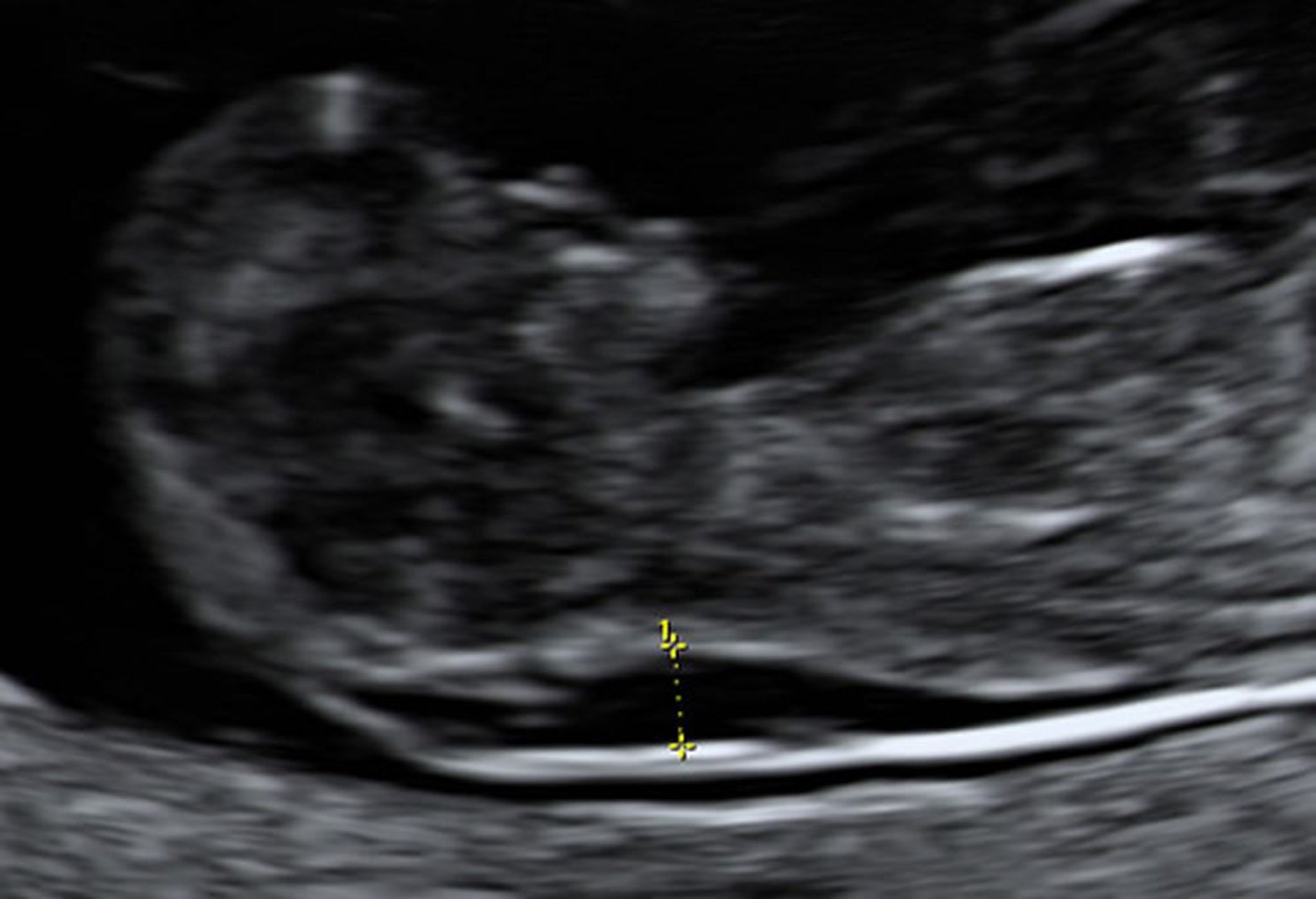
Ultrasonografia che mostra una traslucenza nucale ingrandita in un feto di 10 settimane
Il campionamento dei villi coriali ha indicato che questo feto aveva la sindrome di Down.
Photo from Jeffrey S. Dungan, MD.
In questi argomenti
Il campionamento dei villi coriali ha indicato che questo feto aveva la sindrome di Down.
Photo from Jeffrey S. Dungan, MD.