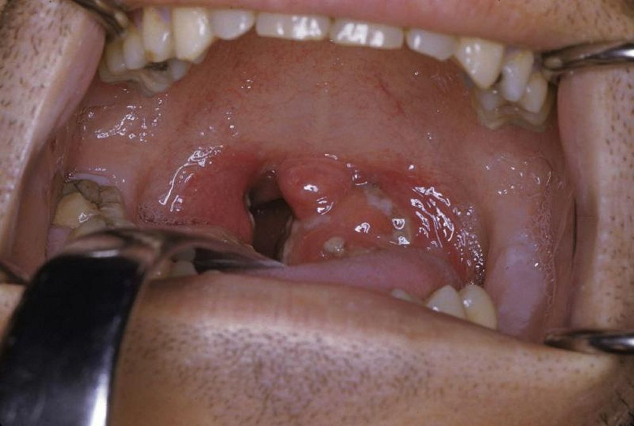
Tonsillite acuta
Questa foto mostra una tonsillite acuta con essudato ed eritema.
Foto procurata da Clarence T. Sasaki, MD.
In questi argomenti
Questa foto mostra una tonsillite acuta con essudato ed eritema.
Foto procurata da Clarence T. Sasaki, MD.