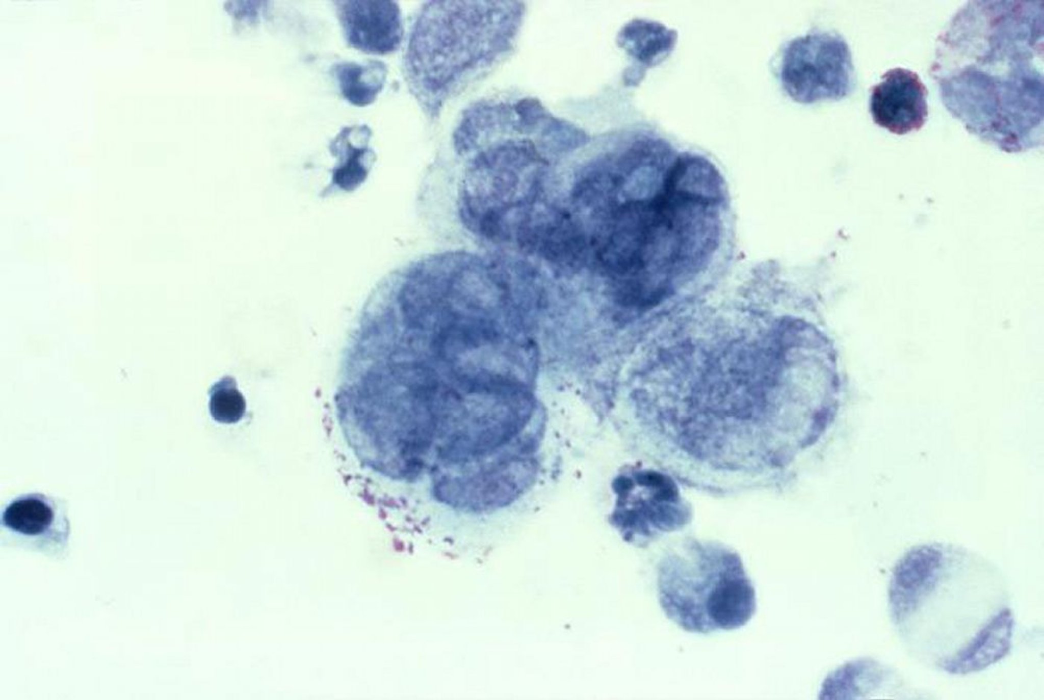
Test di Tzanck
Con il test di Tzanck, la base e i lati di una vescicola vengono raschiati con un bisturi e il materiale viene colorato con la colorazione di Wright o Giemsa. La presenza di cellule giganti multinucleate è un segno di patologia virale da herpes simplex o herpes zoster.
Photo courtesy of Joe Miller via the Public Health Image Library of the Centers for Disease Control and Prevention.
In questi argomenti
