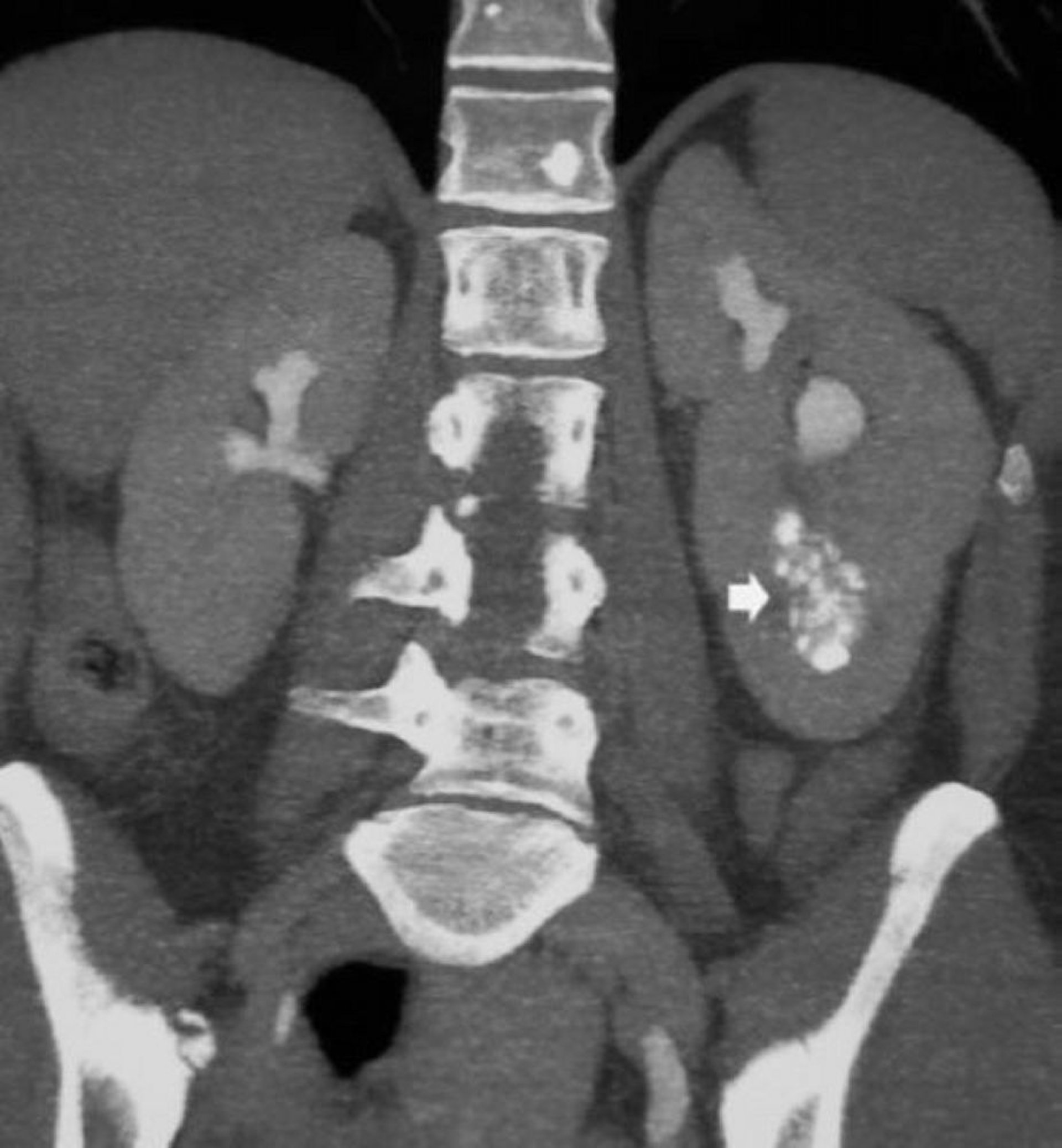
TC coronale senza contrasto che mostra nefrocalcinosi midollare
Questa immagine mostra nefrocalcinosi midollare e dotti collettori dilatati pieni di contrasto in un paziente con rene a spugna midollare (freccia).
© Springer Science+Business Media
In questi argomenti
