TC cerebrale normale (adulto di 74 anni), slide 3
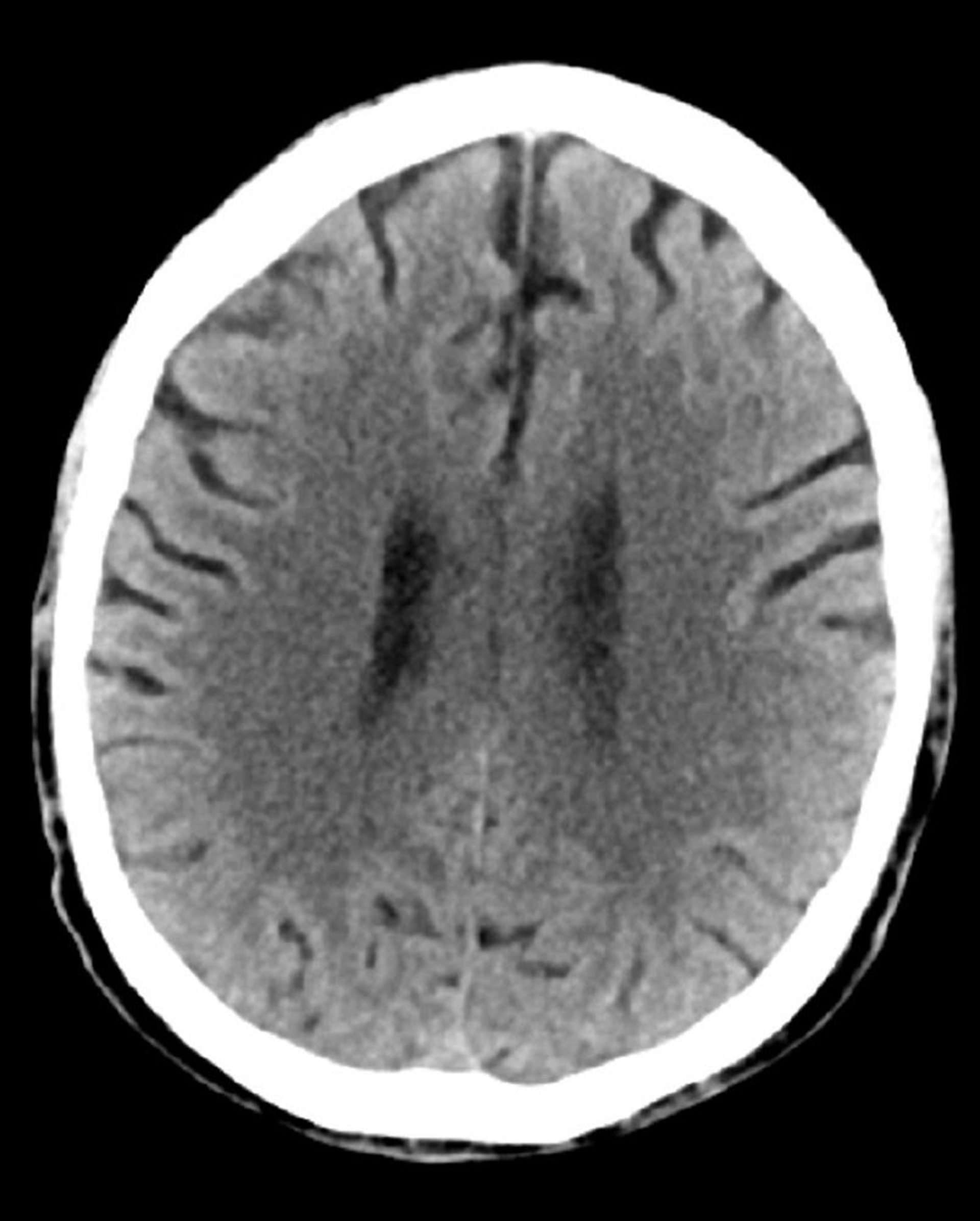
Questa immagine è una normale TC della testa di un adulto di 74 anni. Rispetto alla normale TC della testa di un soggetto di 30 anni, i ventricoli e i solchi sono più grandi. Questi reperti sono normali in questa fascia d'età.
© 2017 Elliot K. Fishman, MD.
In questi argomenti
