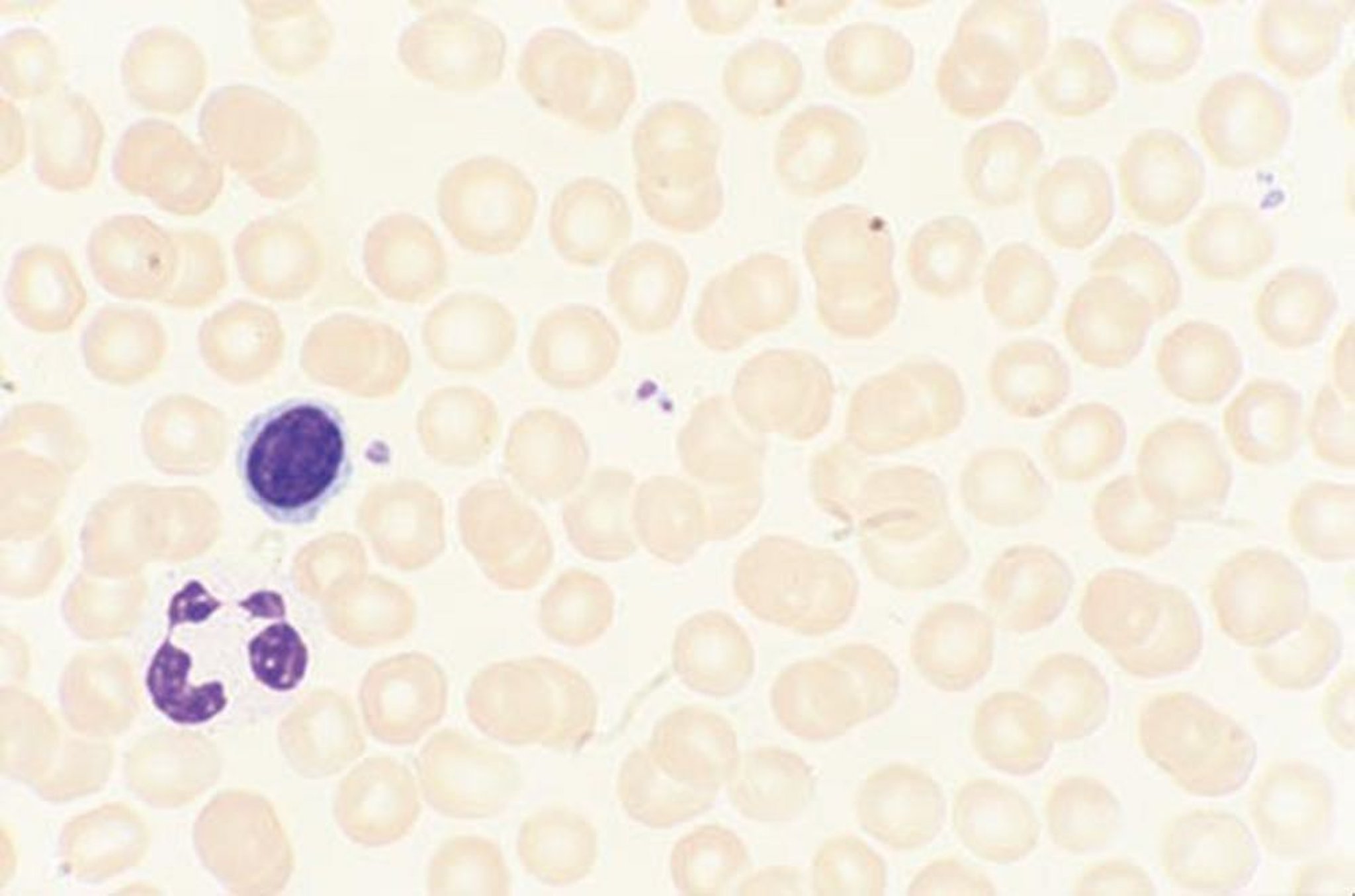
Striscio di sangue periferico, normale
Una goccia di sangue viene applicata su un vetrino che viene successivamente colorato con colorazione policromatica (Wright-Giemsa) per consentire l'identificazione dei vari tipi di cellule. Queste colorazioni sono miscele di coloranti basici (blu di metilene) che colorano di blu e di coloranti acidi (eosina) che colorano di rosso. Pertanto, i componenti acidi della cellula (nucleo, RNA citoplasmatico, granuli basofili) si colorano di blu o di viola e i componenti basici della cellula (emoglobina, granuli eosinofili) si colorano di rosso o di arancione.
By permission of the publisher. From Tefferi A, Li C. In Atlas of Clinical Hematology. Edited by JO Armitage. Philadelphia, Current Medicine, 2004.
In questi argomenti
