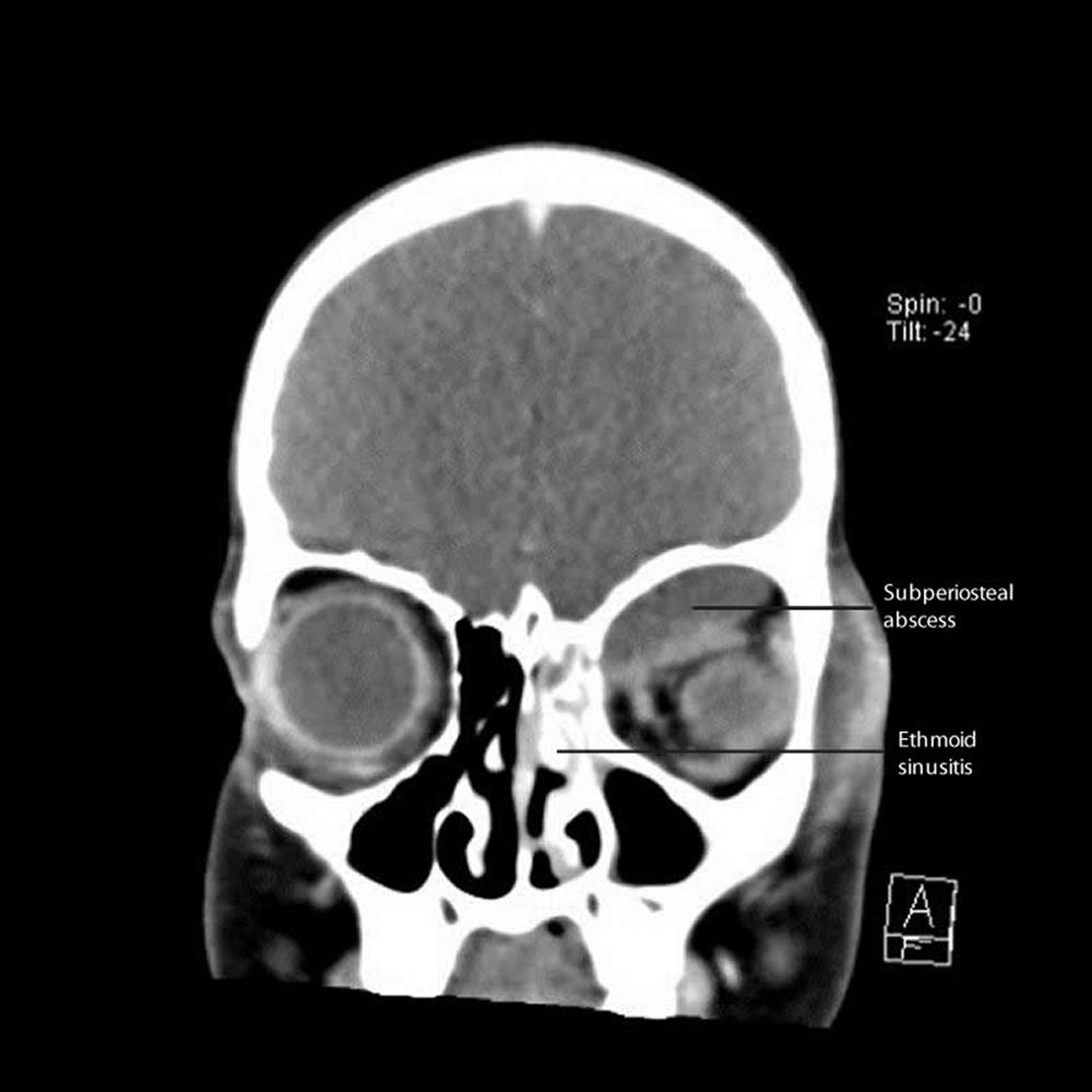
Sinusite etmoidale con ascesso sottoperiostale
Questa TC mostra una sinusite etmoidale sinistra con ascesso subperiostale adiacente lungo la parete mediana e il tetto dell'orbita.
CT courtesy of James Garrity, MD.
In questi argomenti
Questa TC mostra una sinusite etmoidale sinistra con ascesso subperiostale adiacente lungo la parete mediana e il tetto dell'orbita.
CT courtesy of James Garrity, MD.