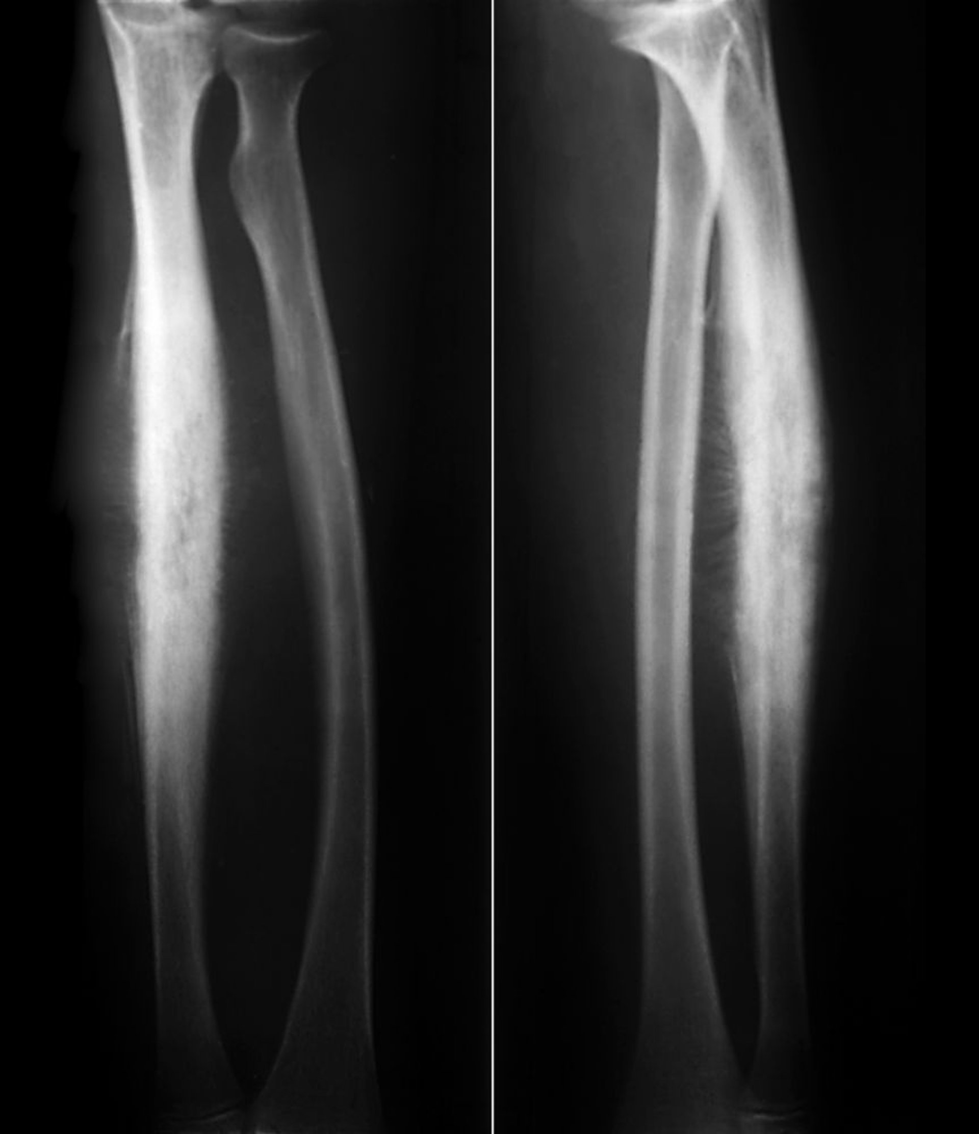
Sarcoma di Ewing del radio
Questo sarcoma di Ewing della diafisi radiale mostra una neoformazione ossea reattiva subperiostale in una classica reazione periostale "a raggiera" insieme alla distruzione litica dell'osso corticale.
ZEPHYR/SCIENCE PHOTO LIBRARY
In questi argomenti
