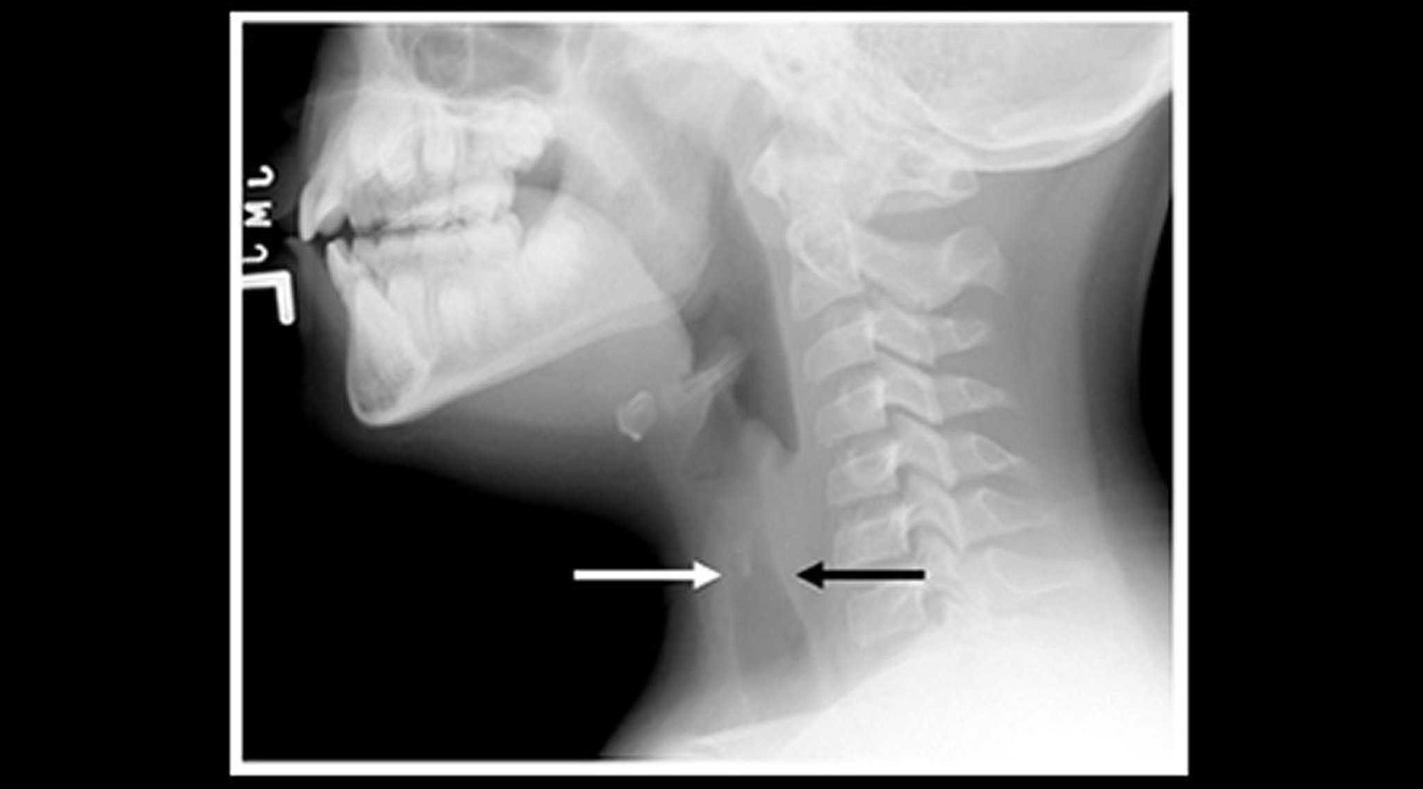
RX di un bambino con laringotracheobronchite acuta (proiezione sagittale)
Le radiografie del collo dei tessuti molli di un bambino con croup mostrano restringimento dell'ombra sottoglottica dell'aria tracheale (frecce) e dilatazione degli spazi aerei faringei.
Image courtesy of John McBride, MD.
In questi argomenti
