Radiolografia del torace di un paziente con pericardite costrittiva
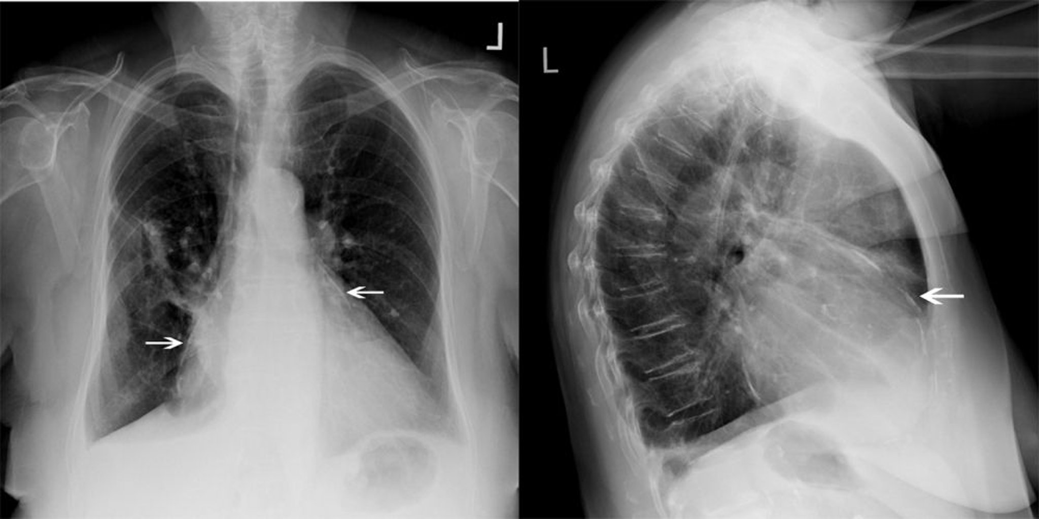
Questo paziente con pericardite costrittiva ha una calcificazione pericardica significativa (frecce bianche).
© 2017 Elliot K. Fishman, MD.
In questi argomenti
Questo paziente con pericardite costrittiva ha una calcificazione pericardica significativa (frecce bianche).
© 2017 Elliot K. Fishman, MD.