honeypot link
skip to main content
MSDManuale MsdVersione per i professionisti
ARGOMENTI DI MEDICINARISORSECOMMENTIPROCEDUREQUIZINFORMAZIONI
homeARGOMENTI DI MEDICINARISORSE
Search icon
  1. <Immagini
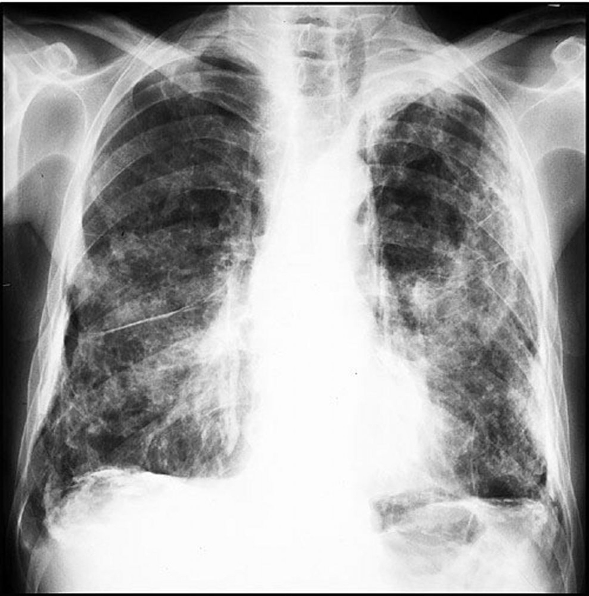
    Placche correlate all'amianto (estese)

    Placche correlate all'amianto (estese)

    Image courtesy of David W. Cugell, MD.

    In questi argomenti
    • Malattie pleuriche correlate all'asbesto/amianto >
    MSD
    • Informazioni
    • Clausola di esclusione della responsabilità
    • Autorizzazioni
    • Privacy
    • Cookie Preferences
    • Termini di utilizzo
    • Licenze
    • Contattaci
    • Manuale veterinario (solo in lingua inglese)
    This icon serves as a link to download the eSSENTIAL Accessibility assistive technology app for individuals with physical disabilities. It is featured as part of our commitment to diversity and inclusion.
    This icon serves as a link to download the eSSENTIAL Accessibility assistive technology app for individuals with physical disabilities. It is featured as part of our commitment to diversity and inclusion.
    MSD

    Copyright© 2026Merck & Co., Inc., Rahway, NJ, USA e sue affiliate. Tutti i diritti riservati.