Parodontite
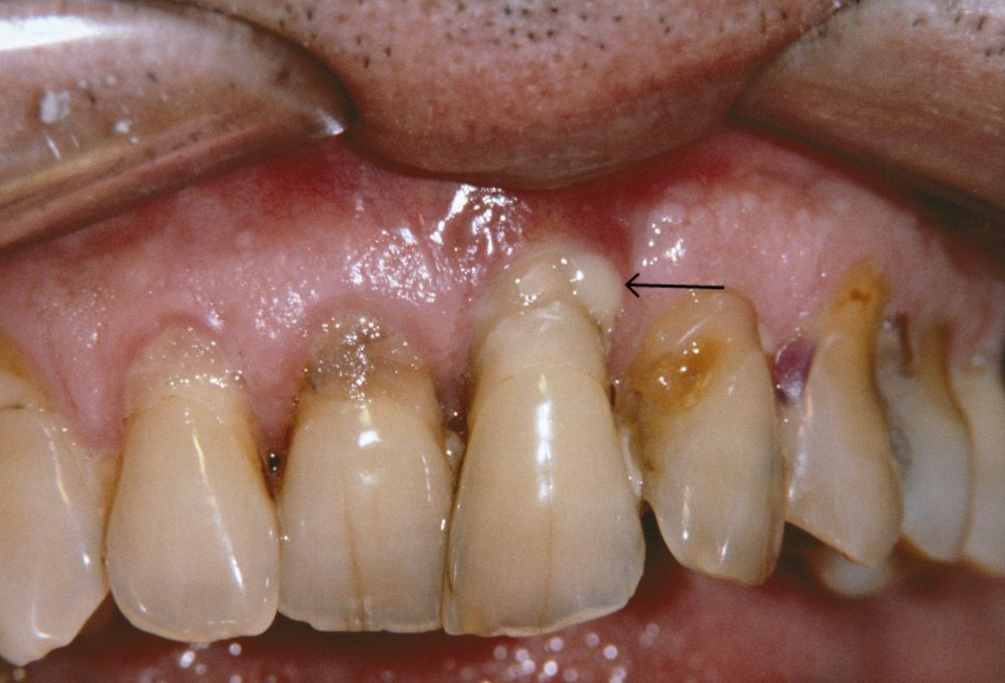
Questa foto mostra recessione gengivale e un ascesso parodontale (freccia) in una persona che ha parodontite.
CNRI/SCIENCE PHOTO LIBRARY
In questi argomenti
Questa foto mostra recessione gengivale e un ascesso parodontale (freccia) in una persona che ha parodontite.
CNRI/SCIENCE PHOTO LIBRARY