Otite media acuta
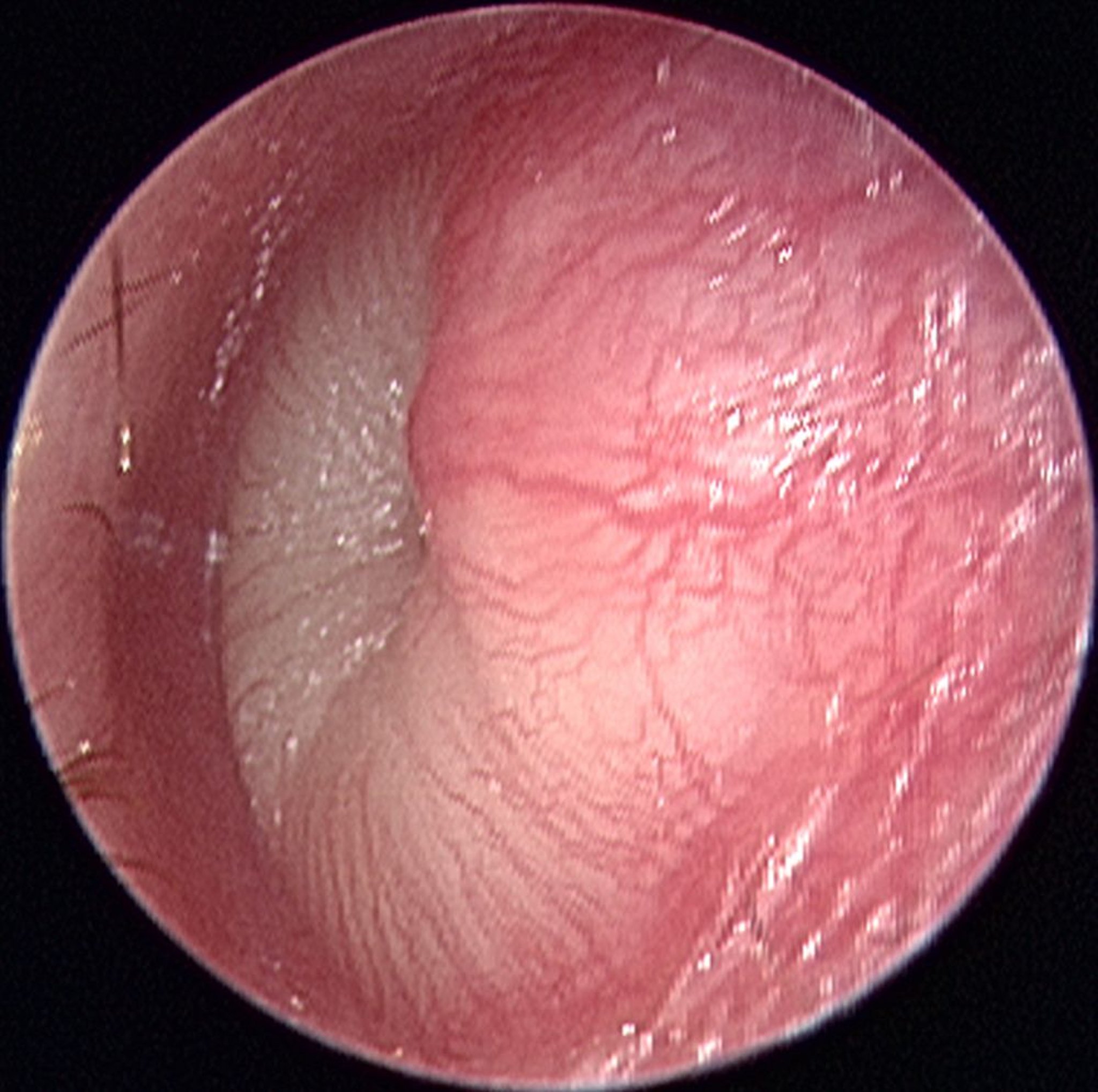
La membrana timpanica sinistra nell'otite media acuta (in basso) è rigonfia ed eritematosa e ha punti di riferimento indistinti, oscurati a causa della membrana timpanica sporgente.
© Springer Science+Business Media
In questi argomenti
