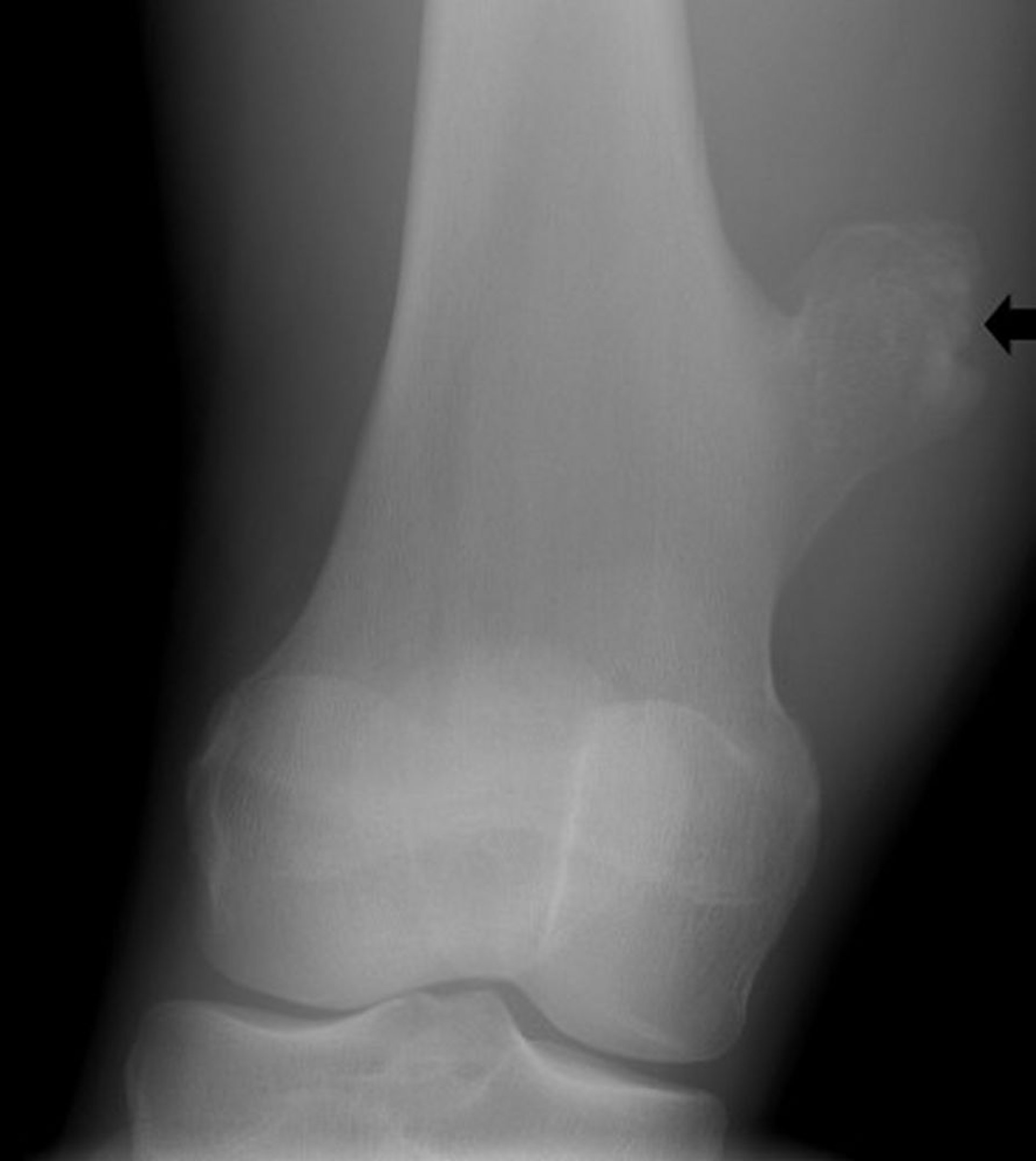
Osteocondroma del ginocchio
Questa radiografia del ginocchio mostra un'escrescenza ossea (freccia) dal femore sopra l'articolazione del ginocchio che è coerente con un osteocondroma.
Image courtesy of Michael J. Joyce, MD, and Hakan Ilaslan, MD.
In questi argomenti
