Neurocisticercosi
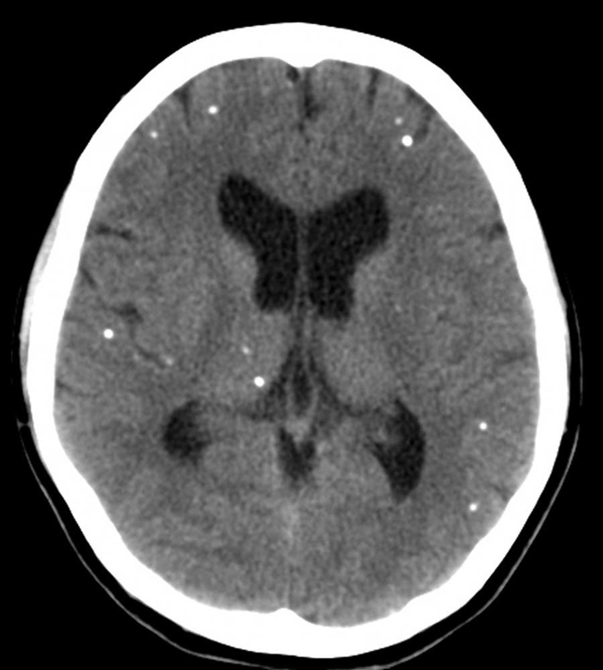
Questa scansione TC mostra aree multifocali di calcificazione che rappresentano cisti calcificate in un paziente con neurocisticercosi.
Courtesy of John E. Greenlee, MD.
In questi argomenti
Questa scansione TC mostra aree multifocali di calcificazione che rappresentano cisti calcificate in un paziente con neurocisticercosi.
Courtesy of John E. Greenlee, MD.