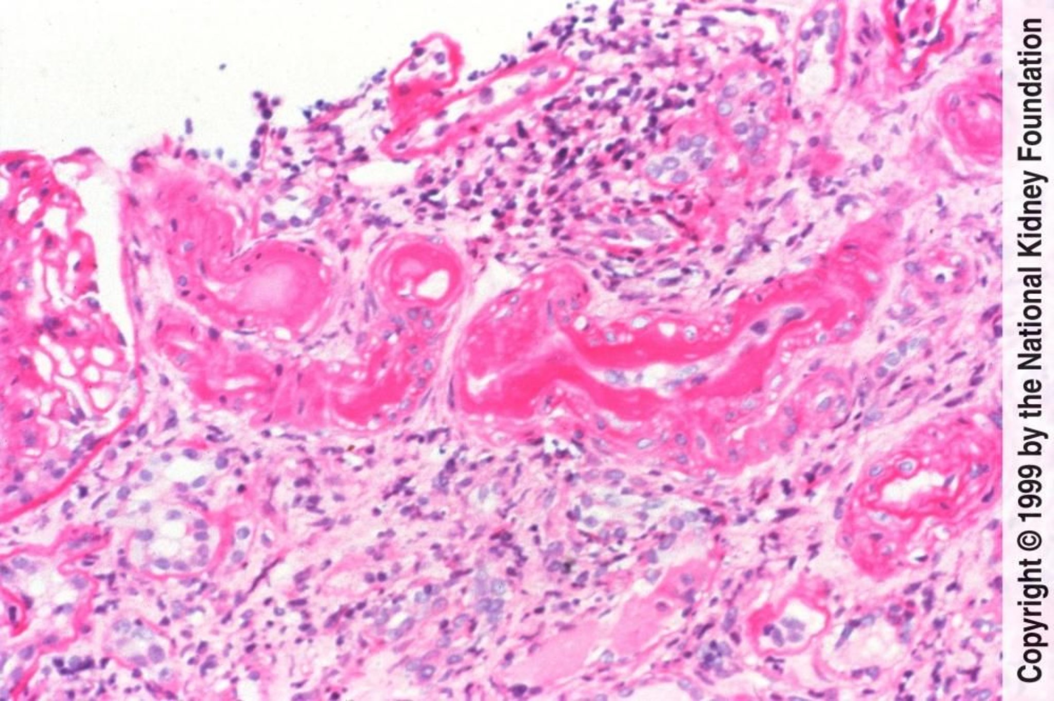
Nefroangiosclerosi arteriolare ipertensiva benigna
La nefrosclerosi arteriolare ipertensiva benigna è caratterizzata istologicamente dall'ialinosi arteriolare causata dall'insudazione di proteine plasmatiche e dall'ispessimento della media causato dall'ipertrofia e dall'iperplasia delle cellule muscolari lisce vascolari (acido periodico di Schiff, × 200).
Imagine fornita da Agnes Fogo, MD, and the American Journal of Kidney Diseases' Atlas of Renal Pathology (vedi www.ajkd.org).
In questi argomenti
