Miosite da corpi inclusi
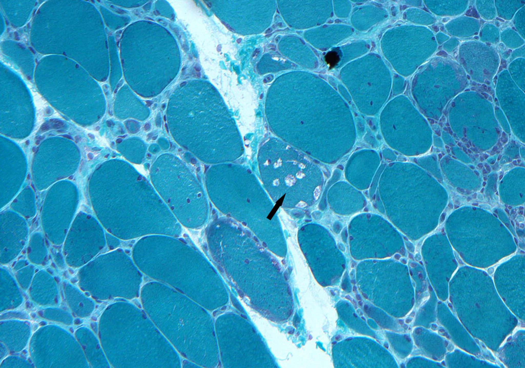
Questo campione bioptico mostra infiltrati endomisiali, degenerazione delle miofibrille e vacuoli cerchiati (freccia).
Photo courtesy of Kinanah Yaseen, MD.
In questi argomenti
Questo campione bioptico mostra infiltrati endomisiali, degenerazione delle miofibrille e vacuoli cerchiati (freccia).
Photo courtesy of Kinanah Yaseen, MD.