Microadenoma ipofisario
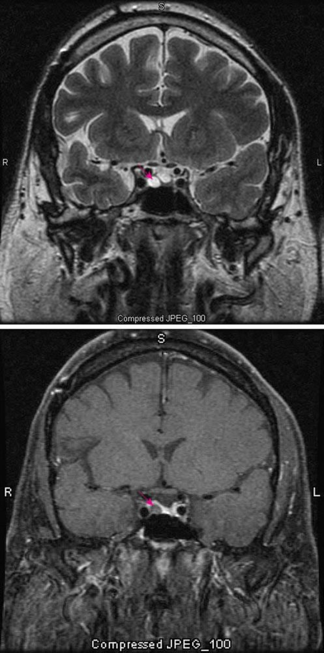
La sequenza T2 pesata di RM (in alto) mostra un microadenoma ipofisario (freccia rossa). Il contrasto (in basso) normalmente evidenzia l'ipofisi (freccia rossa). L'adenoma appare più chiaro.
Images courtesy of William R. Shapiro, MD.
In questi argomenti
