Metastasi litiche nel femore distale
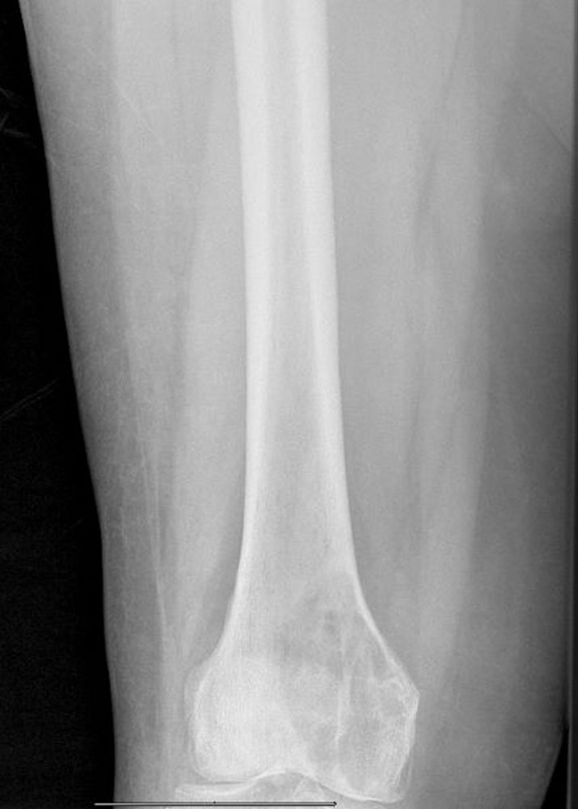
Questa radiografia mostra un'ampia lesione litica metastatica del condilo mediale femorale con frattura patologica imminente.
Image courtesy of Michael J. Joyce, MD, and David M. Joyce, MD.
In questi argomenti
Questa radiografia mostra un'ampia lesione litica metastatica del condilo mediale femorale con frattura patologica imminente.
Image courtesy of Michael J. Joyce, MD, and David M. Joyce, MD.