Linfoma di Burkitt correlato con un'immunodeficienza
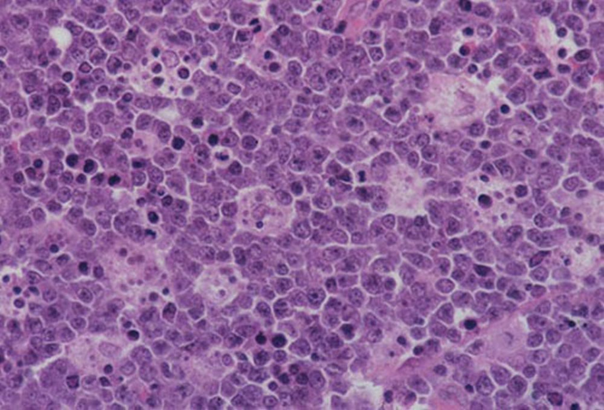
Come nelle persone non affette da immunodeficienza, il linfoma di Burkitt ha un aspetto a "cielo stellato" a causa dei numerosi macrofagi contenenti detriti (che denotano un rapido ricambio cellulare). Il tumore ha anche un alto tasso mitotico.
By permission of the publisher. From Banks P, et al. In Atlas of Clinical Hematology. Edited by JO Armitage. Philadelphia, Current Medicine, 2004. Available at www.images.md.
In questi argomenti
