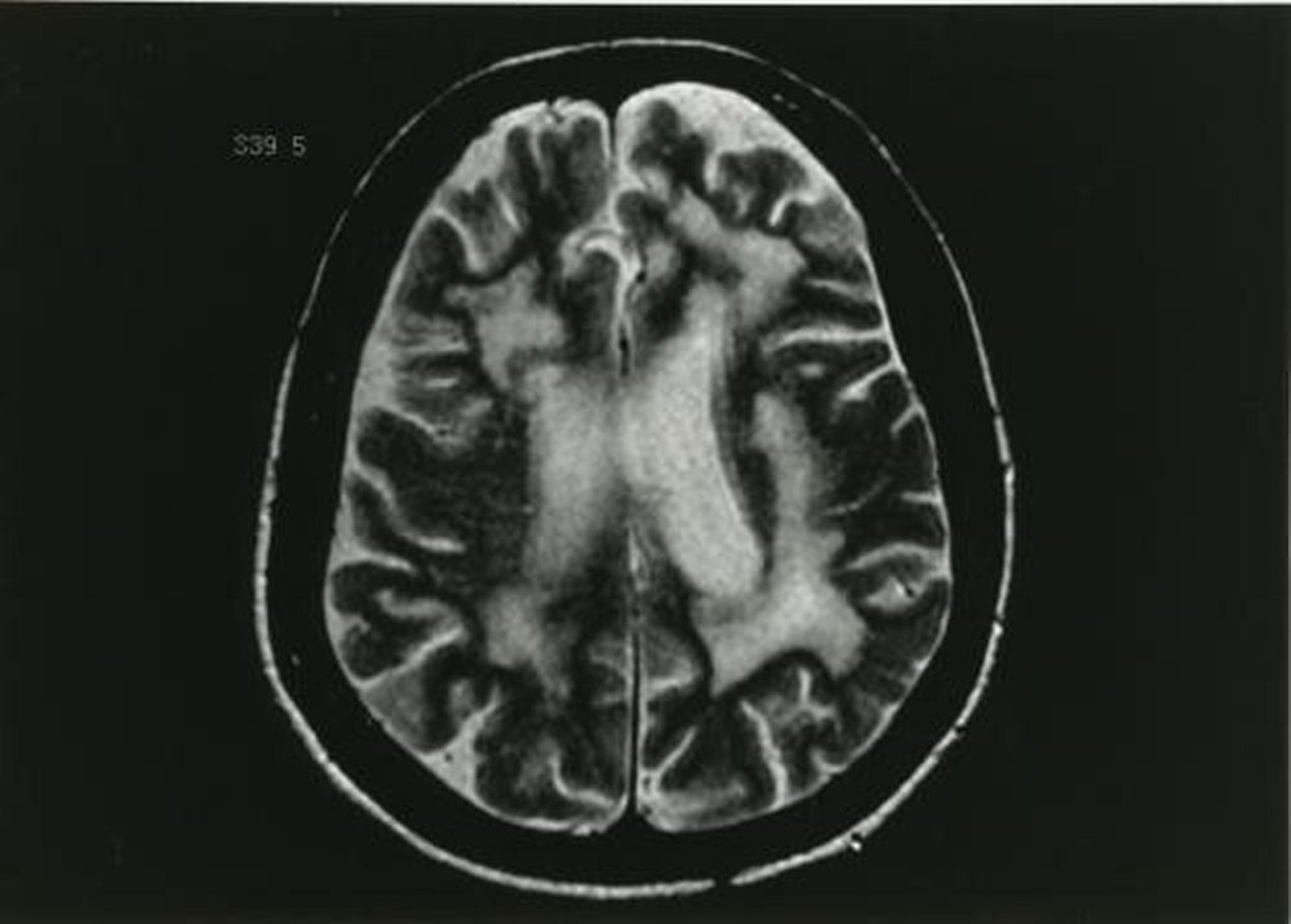
Leucoencefalopatia multifocale progressiva
Questa immagine RM pesata in T2 mostra multipli cambiamenti nella sostanza bianca.
Immagine fornita da John E. Greenlee, MD.
In questi argomenti
Questa immagine RM pesata in T2 mostra multipli cambiamenti nella sostanza bianca.
Immagine fornita da John E. Greenlee, MD.