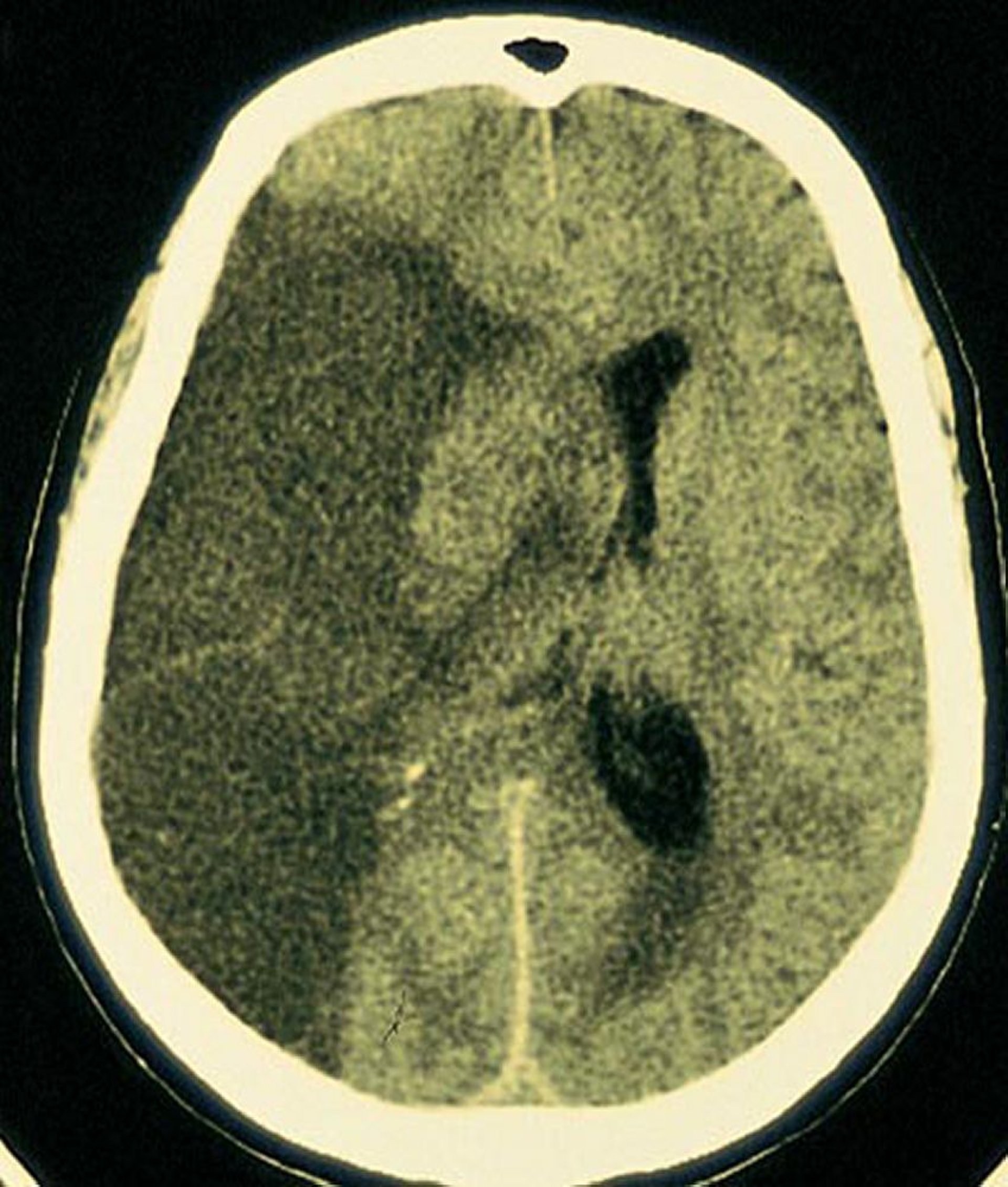
Infarto dell'arteria cerebrale media
Una zona ischemica ampia e lucida si osserva nella zona del cervello perfusa dall'arteria cerebrale media destra.
By permission of the publisher. From Furie K, et al: Cerebrovascular disease. In Atlas of Clinical Neurology. Edited by RN Rosenberg. Philadelphia, Current Medicine, 2002.
In questi argomenti
