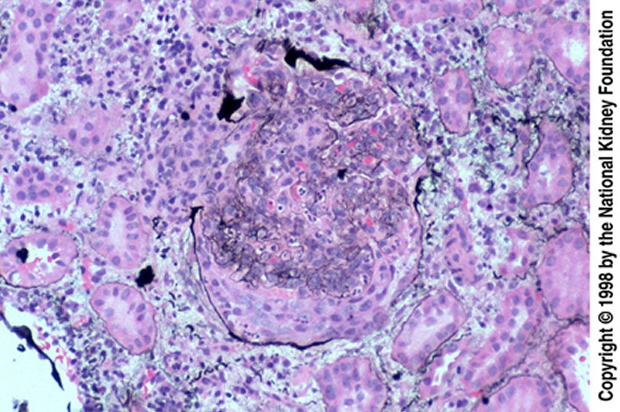
Glomerulonefrite postinfettiva (semilune epiteliali)
Le semilune epiteliali sono particolarmente frequenti quando la biopsia viene eseguita tardivamente, dopo una mancata risposta al trattamento. La semiluna ha rotto la capsula di Bowman (colorazione all'argento di Jones, ×200).
Imagine fornita da Agnes Fogo, MD, and the American Journal of Kidney Diseases' Atlas of Renal Pathology (vedi www.ajkd.org).
In questi argomenti
