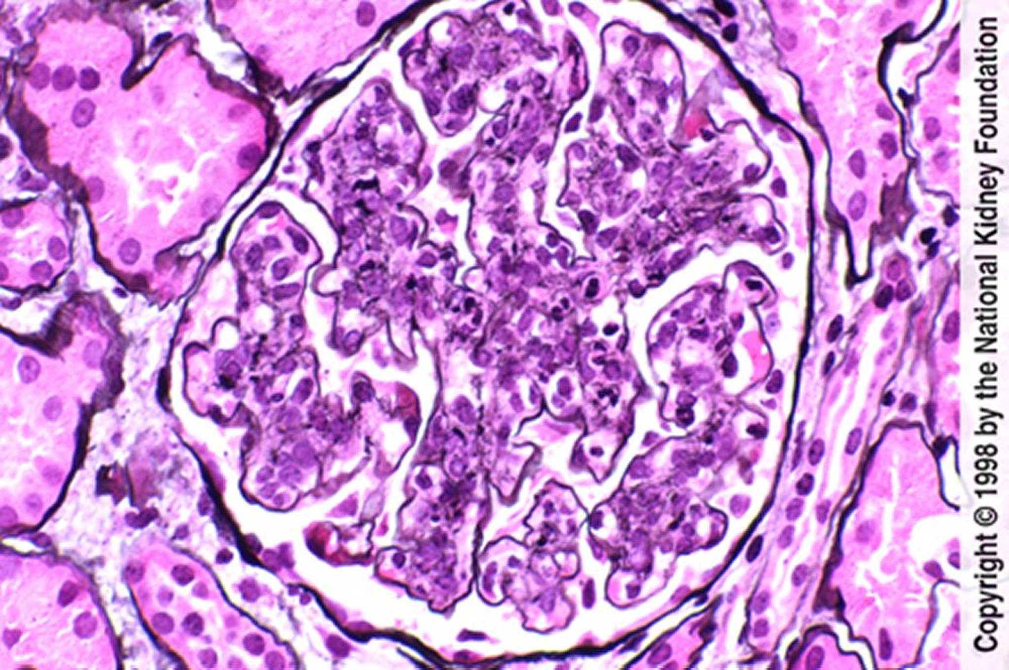
Glomerulonefrite postinfettiva (ipercellularità con infiltrazione neutrofila)
Ipercellularità endoteliale e mesangiale con infiltrazione neutrofila (colorazione all'argento di Jones, ×400).
Imagine fornita da Agnes Fogo, MD, and the American Journal of Kidney Diseases' Atlas of Renal Pathology (vedi www.ajkd.org).
In questi argomenti
