Glomerulo renale (micrografia ottica)
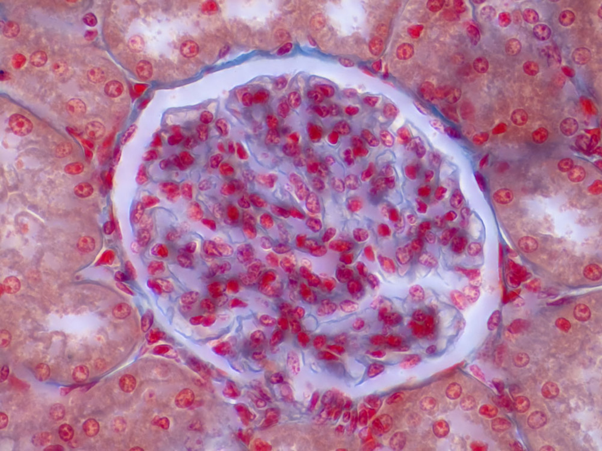
La figura mostra una sezione trasversale di un corpuscolo renale. Il glomerulo contiene una rete di capillari, che contengono i globuli rossi visibili nella micrografia. I podociti fenestrati che ricoprono i capillari non sono visibili qui. Il glomerulo è circondato dallo spazio di Bowman.
CHOKSAWATDIKORN/SCIENCE PHOTO LIBRARY
In questi argomenti
