Glioblastoma
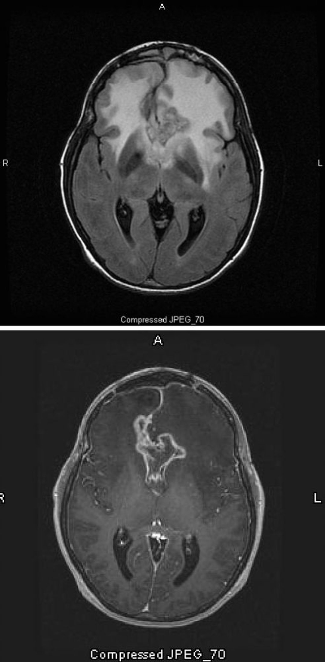
La scansione RM T2-FLAIR (fluid-attenuating inversion recovery) (in alto) mostra un grande segnale bianco bilaterale (iperdensità) attorno al glioblastoma, che è l’astrocitoma con il più alto grado di malignità. Questo particolare glioblastoma è chiamato glioma a farfalla perché il segnale bianco attorno al tumore forma le ali della farfalla; è causato da edema cerebrale. Nella scansione pesata in T1 (in basso), il contrasto delinea il bordo del tumore (enhancement dell'anello). L'edema appare come un'area scura (ipointensità) al T1.
Images courtesy of William R. Shapiro, MD.
In questi argomenti
