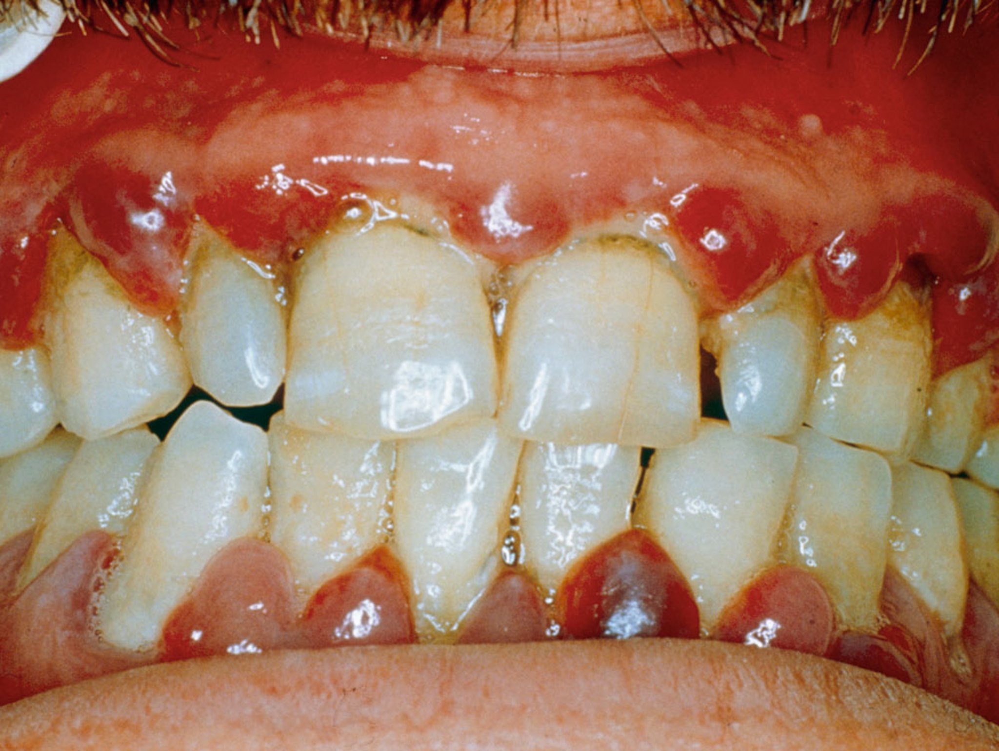
Gengive gonfie e infiammate nello scorbuto
Questa foto mostra una gengiva viola edematosa in un paziente affetto da scorbuto.
BIOPHOTO ASSOCIATES/SCIENCE PHOTO LIBRARY
In questi argomenti
Questa foto mostra una gengiva viola edematosa in un paziente affetto da scorbuto.
BIOPHOTO ASSOCIATES/SCIENCE PHOTO LIBRARY