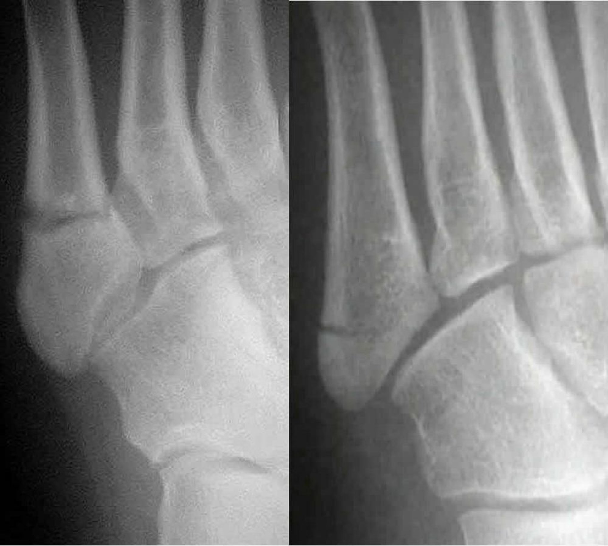
Fratture di Jones versus pseudo-Jones
La frattura di Jones (a sinistra) interessa la diafisi del 5o metatarso; una frattura pseudo-Jones (a destra) interessa la base del 5o metatarso. Distinguere i due è importante perché vengono trattati in modo diverso.
Images courtesy of Danielle Campagne, MD.
In questi argomenti
