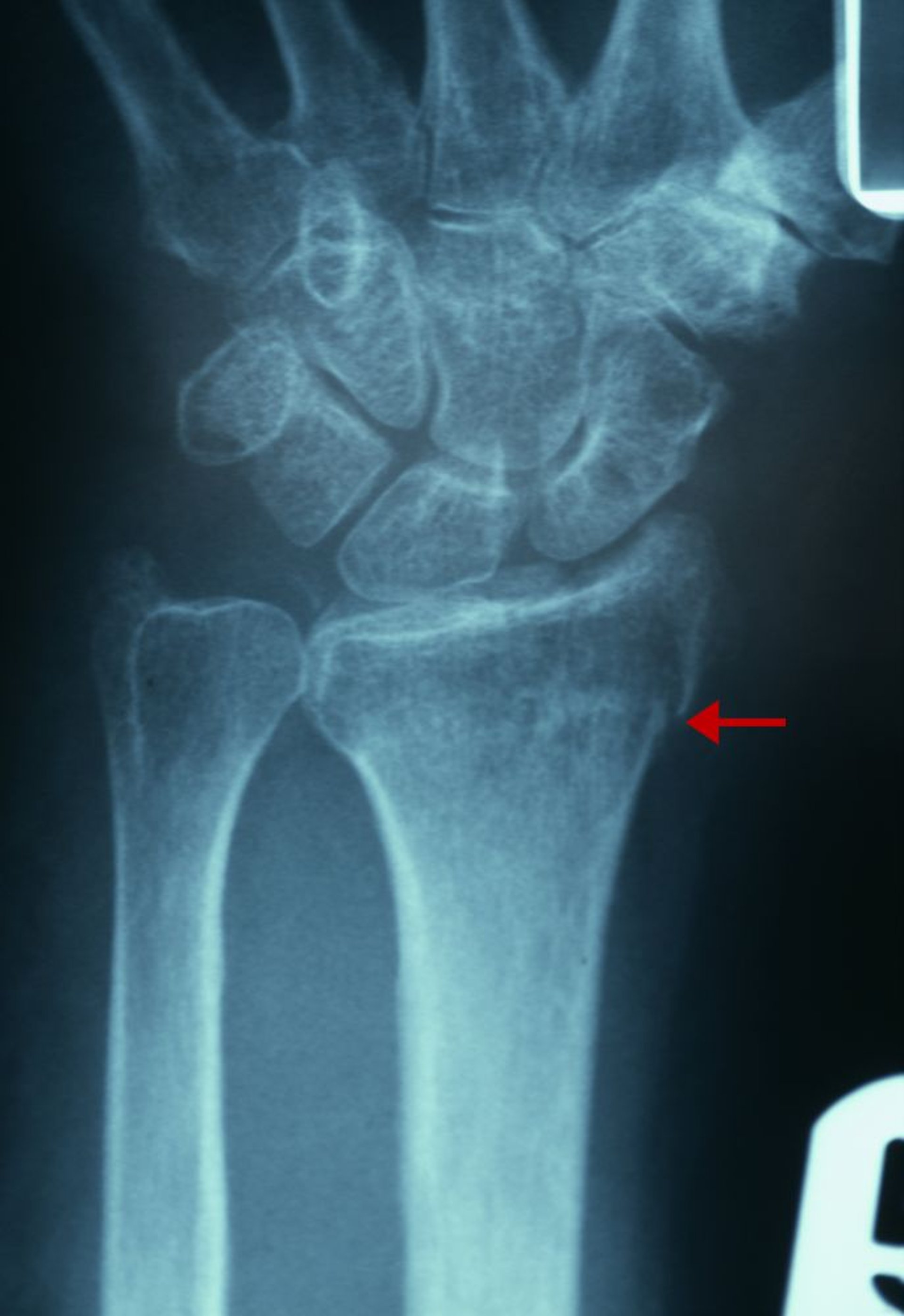
Frattura distale del radio sottile
L'evidenza radiografica di questa frattura comprende un'interruzione della continuità della corticale dell'aspetto radiale del radio distale (freccia) e un aumento della densità trabecolare del radio distale.
DR P. MARAZZI/SCIENCE PHOTO LIBRARY
In questi argomenti
