Frattura dello scafoide carpale
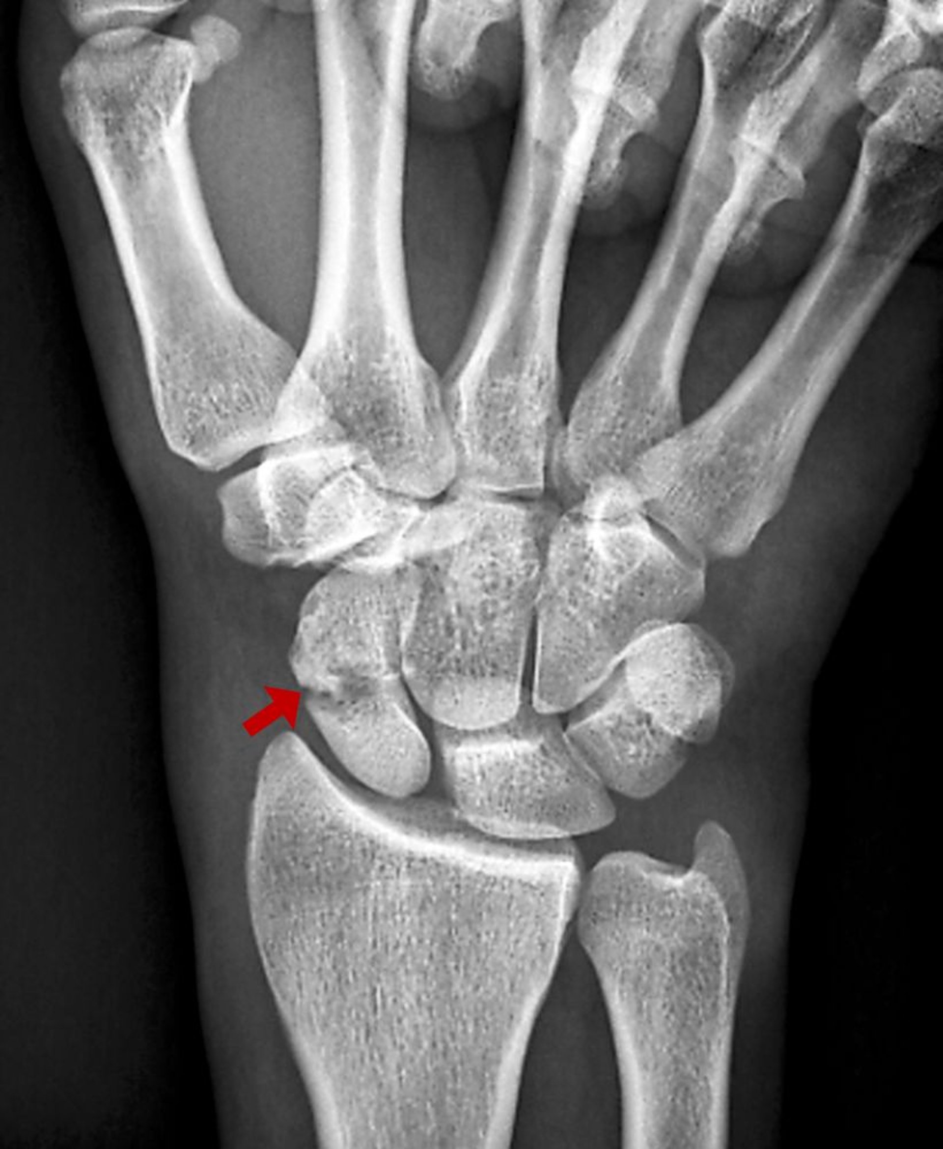
Questa frattura dello scafoide è visibile come una trasparenza all'RX.
ZEPHYR/SCIENCE PHOTO LIBRARY
In questi argomenti
Questa frattura dello scafoide è visibile come una trasparenza all'RX.
ZEPHYR/SCIENCE PHOTO LIBRARY