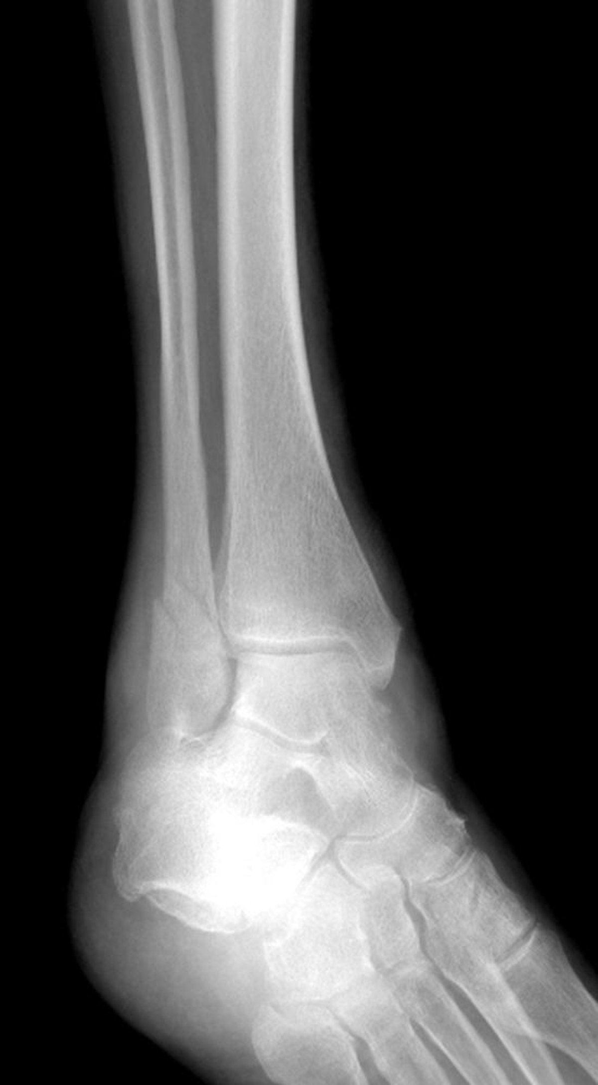
Frattura del malleolo laterale
Questa frattura della caviglia colpisce il malleolo laterale, ma risparmia il malleolo mediale.
LIVING ART ENTERPRISES, LLC/SCIENCE PHOTO LIBRARY
In questi argomenti
Questa frattura della caviglia colpisce il malleolo laterale, ma risparmia il malleolo mediale.
LIVING ART ENTERPRISES, LLC/SCIENCE PHOTO LIBRARY