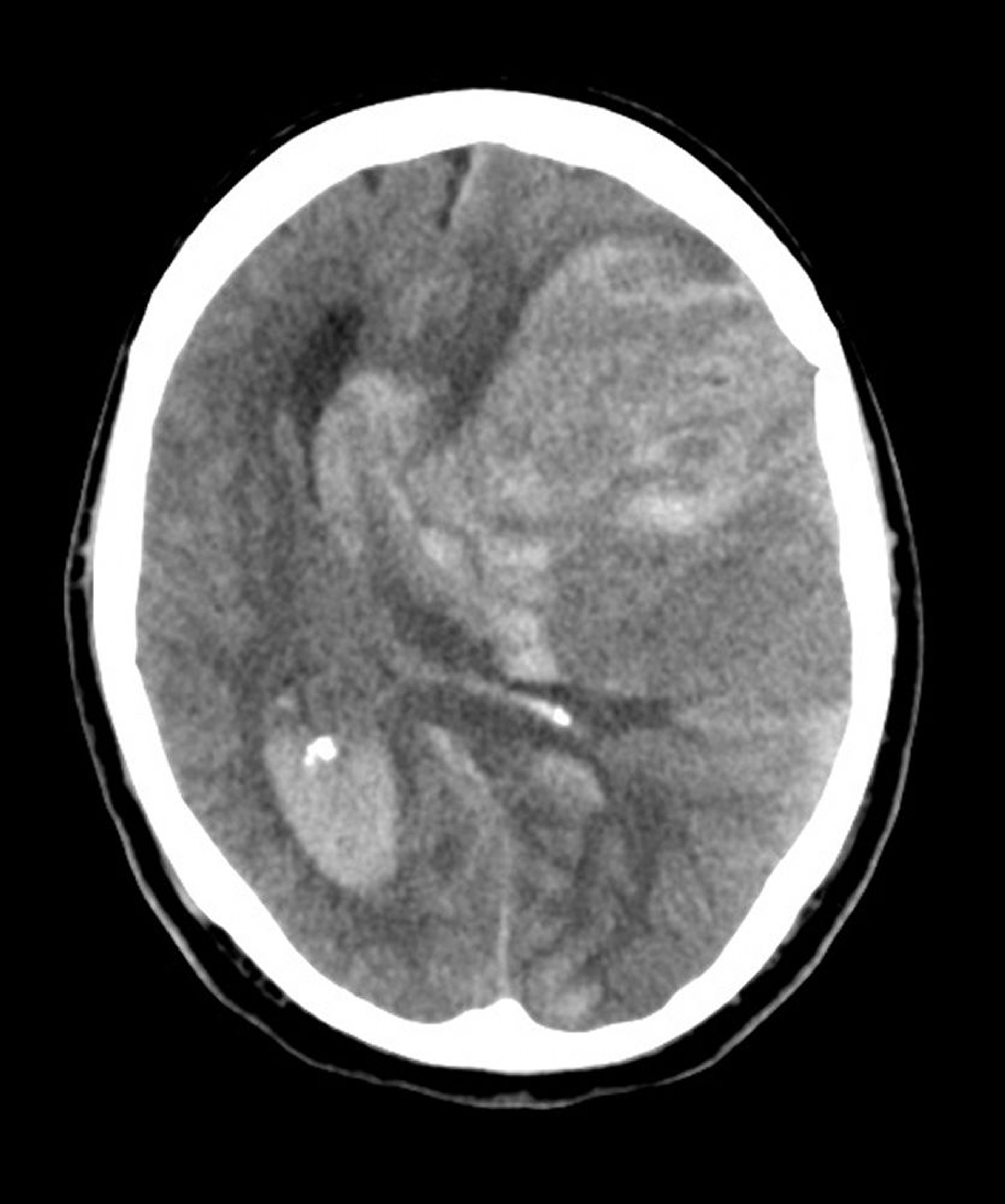
Ernia subfalcina
L'erniazione subfalcina è il tipo più comune di erniazione cerebrale. In questa immagine, il cervello sinistro è erniato sotto il bordo libero della falce cerebrale (freccia) poiché l'emorragia a seguito di un infarto nell'arteria cerebrale media ha aumentato la pressione intracerebrale.
© 2017 Elliot K. Fishman, MD.
In questi argomenti
